2025年跨域(跨域步态常见于)

跨域(跨域步态常见于)外周介入治疗因其简便 安全 有效 微创和并发症少的特点广泛应用于临床 成为了外周血管疾病治疗的优选方式 近年来随着新型球囊 支架 减容等腔内器具的研发为外周介入治疗提供了新的方案和选择 为了更好地提升外周血管疾病的诊治规范 加强临床医师对于外周血管疾病患者的服务质量 携手介鉴品牌特别打造的外周介入治疗临床病例与见解交流平台 铿锵有例 专栏 应运而生 邀您一起读病例 拓思路 强实践

大家好,我是讯享网,很高兴认识大家。




讯享网

外周介入治疗因其简便、安全、有效、微创和并发症少的特点广泛应用于临床,成为了外周血管疾病治疗的优选方式。近年来随着新型球囊、支架、减容等腔内器具的研发为外周介入治疗提供了新的方案和选择。为了更好地提升外周血管疾病的诊治规范,加强临床医师对于外周血管疾病患者的服务质量,携手介鉴品牌特别打造的外周介入治疗临床病例与见解交流平台【铿锵有例】专栏应运而生,邀您一起读病例,拓思路,强实践。

本专栏以临床典型病例为主线,经过提炼、整理、分析和总结成文后呈现给大家,帮助临床医师最大限度地提升诊疗水平,积累临床经验,共同促进外周介入科学的发展。本期为大家带来膝下远端灌注影响糖尿病足综合治疗策略,且与诸君分享~

《膝下远端灌注影响糖尿病足综合治疗策略》

杨东海教授

厦门大学附属中山医院

据统计,我国糖尿病患病率已上升至11.2%,目前我国有超过1亿的糖尿病患者。糖尿病足溃疡(diabetic foot ulcer,DFU)作为糖尿病患者致残、致死的主要原因之一,已成为严重的公共卫生问题。DFU是微血管糖尿病相关病变,也是多种易感因素的结果,如外周动脉疾病、骨异常、糖尿病神经病变或感染,如果不进行适当的治疗,可导致截肢,严重危及患者的健康和生命。

糖尿病足溃疡的现状

糖尿病足的发病机制中,血运障碍、神经损害和感染是导致足溃疡和组织坏死的三个主要因素。糖尿病足溃疡可分为神经性溃疡、缺血性溃疡、神经-缺血性溃疡。外周动脉疾病(PAD)是引发DFU的主要因素之一,中高收入国家统计数据显示,约50%的DFU患者会同时伴有PAD,而低收入国家则以神经性溃疡更为普遍。

糖尿病足诊疗原则应采取综合措施,包括全身支持治疗、控制血糖、改善患肢血运、抗炎以及适时有效的创面处理和修复治疗。针对出现DFU的患者,需要进一步综合评估溃疡类型、感染程度、血糖水平、是否清创、是截肢或保肢、能否开通血管等多个因素。据统计,需要截肢的糖尿病、PAD和足溃疡患者的预后比许多常见癌症更差,5年生存率低于50%。与无足部溃疡史的糖尿病患者相比,有糖尿病足溃疡患者的5年死亡风险增加了2.5倍。2019 IWGDF指南指出,糖尿病足+PAD+终末期肾病的患者围手术期死亡率为5%,1年死亡率高达40%,预后堪忧。

DFU合并PAD的诊断&筛查

&评估

由于糖尿病足溃疡合并下肢血管病变具有发病率高、愈合缓慢、预后差的特点,因此需要进行详细的诊断、筛查和评估。2023 IWGDF指南指出对于合并缺血的足溃疡,推荐应用WIfI系统预测溃疡愈合概率和截肢风险。因为血运重建获益与缺血严重程度、肢体严重程度(WIfI)相关。但现有指南对于血运重建的推荐级别并不高,2019慢性肢体威胁性缺血(CLTI)全球血管指南对于有严重伤口(如WIfI伤口分级3级和4级)的患者,血运重建的推荐级别仅为2C。同样,2023 IWGDF指南对于糖尿病、外周动脉疾病和足部溃疡或坏疽患者接受血运重建的推荐等级仅为有条件推荐,证据等级非常低。虽然糖尿病足患者的创面愈合和保肢治疗需要多方面综合管理,但最新Meta分析显示,血运重建可能是最重要的单因素干预措施。因此,由血管外科医生来主导流程,及早开通血管,可有效降低因血运障碍导致的截肢率,提高保肢率。

2019 CLTI全球血管指南提出了PLAN评估系统, PLAN的评估框架体系旨在结合患者风险、肢体严重程度(WIfl)和病变解剖分级(GLASS),确定首选的血管重建策略。对于适合进行血管重建手术的患者,可以使用GLASS的解剖方案来帮助制定直达足部血流的**路径(TAP)。GLASS分级包含股腘动脉,膝下动脉和踝下动脉病变的分级,但未对踝下动脉病变分级进行整合。股腘动脉病变(GLASS FP)分为5级(0-4级),主要根据SFA的病变长度,CTO的病变长度和腘动脉的病变情况来进行划分。膝下动脉病变(GLASS IP)同样分为5级(0-4级),以TAP为原则,主要根据为总体病变长度,CTO的病变长度和胫腓干病变情况。

PLAN评估体系

GLASS解剖分期系统

01

病例一

患者为53岁男性,因“左足破溃、流脓9天余”入院。

查体:股动脉(左++,右++),腘动脉(左+,右+),胫后动脉(左+,右+),足背动脉(左+,右+)。

既往史:糖尿病、高血压。

辅助检查:ABI(左0.99,右0.96),下肢动脉彩超显示双下肢股浅动脉、腘动脉通畅,胫前、胫后、腓动脉多发斑块形成。初步清创后,CTA提示局部静脉早显,进一步造影显示膝下血运尚可,无需血运重建。通过彻底清创和多次处理,创面逐渐愈合,达到治疗标准。

彻底清创最终创面愈合

02

病例二

患者为69岁男性,因“右足第5趾破溃、流脓半月余”入院。

查体:股动脉(左++,右++),腘动脉(左+,右+),胫后动脉(左-,右-),足背动脉(左-,右-)。

既往史:糖尿病、高血压、慢性肾功能不全(CKD5期)。

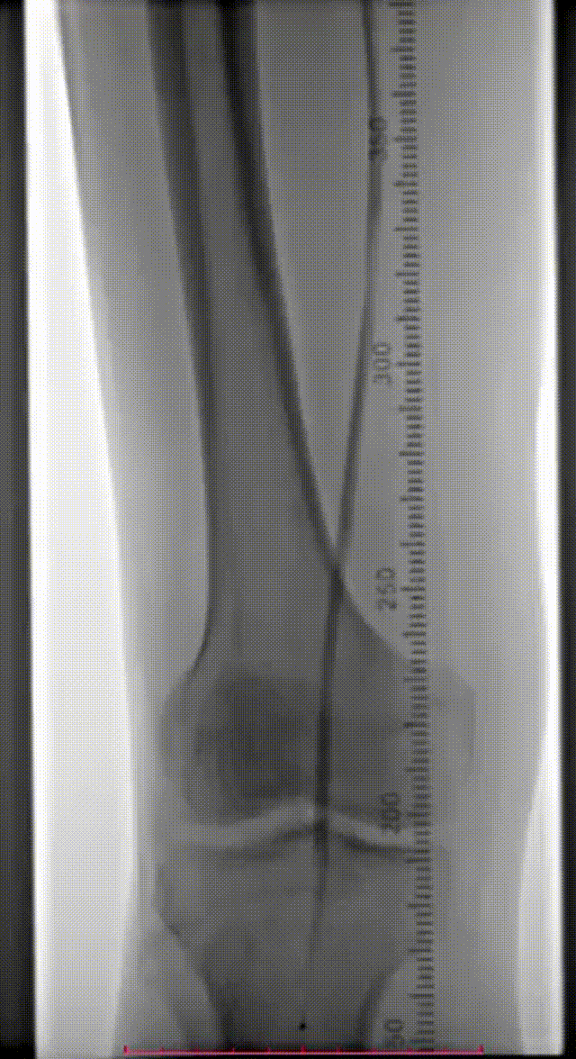
辅助检查:ABI(左0.69,右0.6),下肢动脉彩超显示右下肢多发斑块,股浅动脉局部中重度狭窄,胫前、胫后、腓动脉局部闭塞。CTA提示双侧股浅动脉、腘动脉、膝下动脉明显钙化。

术前CTA

手术方案

根据PLAN评估体系,患者WIfI分期W2 I1 fI2,为WIfI 4级,结合FP和IP的GLASS分级确定GLASS分期为Ⅲ期,保肢条件较好,手术风险可控,拟行血运重建。

手术过程

术中先处理膝下病变,导丝通过后分别应用2.5×250mm、3.0×200mm SABER球囊(10atm,5min)扩张胫前动脉和腘动脉,扩张后管腔获得明显,并于胫前动脉置入3.0×200mm DCB(8atm,3min); 

SABER球囊扩张+DCB贴附

随后继续使用3.0×200mm SABER球囊(8atm,3min)扩张股浅动脉,联合DAART技术(减容+DCB)治疗,最终造影血流通畅,流速可;

SABER球囊扩张联合DARRT技术

术后患者右足ABI恢复至0.99,清创并截除坏死脚趾,缝合后创面顺利愈合。

术后创面愈合情况

03

病例三

患者为70岁男性,因“右下肢活动后疼痛2月余”入院。

查体:股动脉(左++,右++),腘动脉(左+,右-),胫后动脉(左+,右+),足背动脉(左-,右-)。

既往史:糖尿病、高血压、高脂血症、慢性乙型病毒性肝炎、左肝癌术后右肝复发癌。

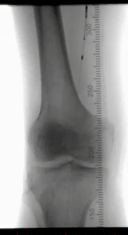
辅助检查:ABI(左0.72,右0.56),下肢动脉彩超显示双下肢动脉硬化伴多发斑块,右侧股浅动脉上段闭塞,双侧胫前动脉中下段接近闭塞。CTA提示:腹主动脉粥样硬化,右侧股动脉、双侧胫前动脉中重度狭窄、闭塞,左侧股动脉、双侧腓动脉、胫后动脉轻度狭窄,左侧髂内动脉局限性闭塞。

术前CTA

术前造影

手术方案

根据PLAN评估体系,本例患者TAP为开通股浅动脉。

手术过程

术中应用导丝配合4×220mm、5×220mm SABER球囊(10atm,3min)逐级扩张股浅动脉,顺利开通闭塞段,置入5.5×300mm DCB贴附,造影显示局部夹层,遂植入6×150mm SmartFlex和6×100mm SmartControl支架;

SABER球囊逐级扩张 

DCB贴附

支架植入

支架植入后造影显示血流明显改善,流速可;

架植入后造影

术后截除足趾,但随访发现伤口愈合不良,基底苍白无新鲜肉芽。因患者肝癌病史,难以进行二期手术,遂进行二次扩大清创,伤口逐渐愈合,但足部功能受到影响。

术后截趾+创面愈合情况

术后思考

目前指南推荐糖尿病患者的膝下动脉血运重建应积极开通直达足部缺血区的血流,包括:1) 膝下血管重建的数量、是否有直达溃疡区域的搏动性血流(Angiosome体系);2) 足背足底弓的完整性;3) 溃疡区域的造影剂染色(Angiographosome理念),以上是决定缺血性糖尿病足患者溃疡愈合的关键因素。

有研究显示,基于Angiosome理念的治疗组与不基于Angiosome理念的治疗组患者伤口愈合率没有显著差异,因此单纯应用Angiosome理念来指导糖尿病足的血运重建存在一定争议,在Angiosome理念的基础上结合Angiographosome理念显得更为必要。

Angiographosome体系包括4种重建模式:1) 直接血运重建;2) 足弓血运重建;3) 分水岭血运重建;4) 变异血运重建。其中足跟及足趾是典型的分水岭式血供模式。因此,单纯基于Angiosome理念可能不足以实现充分灌注,必须通过术中溃疡区域造影剂的浓染(Angiographosome理念)确认是否开通了足够的供血区域。

04

病例四

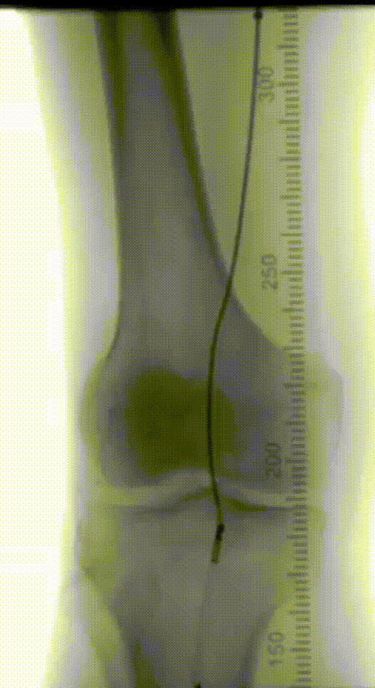
患者为76岁女性,因“血糖升高15年,伴右足溃烂2月”入院。查体:股动脉(左++,右++),腘动脉(左+,右+),胫后动脉(左-,右-),足背动脉(左-,右-)。既往史:糖尿病、高血压。辅助检查:ABI(左0.70,右0.55),下肢动脉彩超显示双下肢动脉硬化伴多发斑块,双侧腓动脉及胫后动脉管径细小,血流纤细。CTA提示膝下三分支病变。

术前影像

手术方案

根据PLAN评估体系,确定为GLASS Ⅲ期,本例患者的TAP路径为开通胫前动脉血流至第三足趾。

手术过程

术中应用V14导丝配合2×200mm、2.5×250mm、3×200mm SABER球囊(10atm,5min)逐级扩张胫前动脉闭塞段,球囊通过性良好,顺利绕过足弓,打通足底动脉弓。随后成功开通腓动脉,最终通过胫前动脉和腓动脉的分支实现了完整的足底弓显影,造影剂浓染效果满意。术后配合清创和换药,患者伤口按计划愈合,足部功能保留,创面愈合。

SABER球囊逐级扩张打通足底动脉弓

术后创面愈合情况

总结

在糖尿病足患者的治疗过程中,应遵循指南进行个体化治疗。治疗过程中,应积极开通直达足部缺血区的直接血流,争取完整的足底弓成形,确保足部缺血区域充分完整的血管染色,以提高术后溃疡愈合率。SABER .018球囊在糖尿病足患者膝下血运重建中具有重要作用,针对膝下闭塞病变,具有极强的通过性,能够有效扩张闭塞段,为后续治疗打下坚实基础,未来期待更多新器具、新数据的出现,以提高远期通畅率。糖尿病足需要综合治疗,多管齐下,通过多种手段来共同提高保肢率和溃疡愈合率。

专家介绍

杨东海教授

厦门大学附属中山医院

厦门大学附属中山医院血管外科副主任医师

国际血管联盟(IUA)中国分部青年委员会委员

中国血管瘤血管畸形联盟会员

厦门市医师协会血管外科医师分会委员

厦门大学附属中山医院血管外科工作。在微创腔内治疗胸主动脉夹层动脉瘤和腹主动脉瘤;下肢动脉硬化闭塞症的手术及介入治疗;内瘘通路的维护;人工血管内瘘通路的建立;下肢静脉曲张、下肢深静脉血栓的手术和介入治疗积累了丰富的临床经验。

参考文献(向上滑动查看)

[1]. BMJ 2020;369:m997 doi: https://doi.org/10.1136/bmj.m997 (Published 28 April 2020)

[2]. 《2023年国际糖尿病足工作组:促进糖尿病相关足溃疡愈合》指南

[3]. 中华内分泌代谢杂志, 2024,40(07):565-569.

[4]. 李一卉,杨慧,余洋,等. 2020年美国糖尿病学会糖尿病医学诊疗标准(微血管和糖尿病足部分)的更新与解读[J]. 中华糖尿病杂志,2020,12(9):733-735. DOI:10.3760/cma.j.cn--00488.

[5]. Jeffcoate, W.J.; Vileikyte, L.; Boyko, E.J.; Armstrong, D.G.; Boulton, A.J.M. Current Challenges and Opportunities in the Prevention and Management of Diabetic Foot Ulcers. Diabetes Care 2018, 41, 645.

[6]. Walsh JW, Hoffstad OJ, Sullivan MO, Margolis DJ. Association of diabetic foot ulcer and death in a population-based cohort from the United Kingdom. Diabet Med 2016;33:1493–1498

[7]. LipskyBA, SennevilleÉ, AbbasZG, et al. Guidelines on the diagnosis and treatment of foot infection in persons with diabetes (IWGDF 2019 update)[J]. Diabetes Metab Res Rev, 2020, 36(Suppl): e3280.DOI: 10.1002/dmrr.3280.

[8]. Fitridge R, et.al. The intersocietal IWGDF, ESVS, SVS guidelines on peripheral artery disease in people with diabetes and a foot ulcer. Diabetes Metab Res Rev. 2024 Mar;40(3):e3686. doi: 10.1002/dmrr.3686. Epub 2023 Sep 19.

[9]. Michael S. Conte, MD,eg. Global vascular guidelines on the management of chronic limb-threatening ischemia. J Vasc Surg. 2019 Jun;69(6S):3S-125S.e40.

[10]. Popitiu, M.I.et.al. J. Clin. Med. 2024, 13, 883. https://doi.org/10.3390/jcm.

[11]. CHRIS SHACKLES, DO, MPH; KEVIN “CHAIM” HERMAN, MD; VINCENT GALLO, MD; JOHN H. RUNDBACK, MD.Angiographosome-Directed Revascularization Extending the angiosome model to targeted, real-time, angiography-guided restoration of target tissue perfusion. ENDOVASCULAR TODAY MAY 2018 VOL. 17, NO. 5.

版权声明:本平台旨在帮助医疗卫生专业人士更好地了解相关疾病领域最新进展。本平台对发布的资讯内容,并不代表同意其描述和观点,仅为提供更多信息。若涉及版权问题,烦请权利人与我们联系,我们将尽快处理。仅供医疗卫生专业人士为了解资讯使用,该等信息不能以任何方式取代专业的医疗指导,也不应被视为诊疗建议。如该等信息被用于了解资讯以外的目的,本平台及作者不承担相关责任。合作联系邮箱:。

小讯
上一篇 2025-04-22 10:32
下一篇 2025-05-12 10:49

相关推荐

版权声明:本文内容由互联网用户自发贡献,该文观点仅代表作者本人。本站仅提供信息存储空间服务,不拥有所有权,不承担相关法律责任。如发现本站有涉嫌侵权/违法违规的内容,请联系我们,一经查实,本站将立刻删除。
如需转载请保留出处:https://51itzy.com/kjqy/201466.html