前 言
以急危重症病房为主的临床诊疗中,经常需要获取下腔静脉的超声指标。对于超声医师在出急诊床旁超声时,也经常会遇到被要求测量下腔静脉指标。
那么下腔静脉的指标该如何测量?如何理解?又反映着什么样的病理意义呢?
一、下腔静脉的解剖位置决定了其在血流动力学中的意义
腔静脉是汇集来自全身静脉的血液,最终汇入心脏的血管。因此,在生理学意义上,腔静脉是体循环回流的终点(图 1 )。
Guyton 理论告诉我们:
当心跳停止时,循环内各处血液对血管壁的压力相同,这个压力被称为体循环平均充盈压 (mean circulatory filling pressure,MCFP) 。
MCFP 的意义,是驱使体循环血液回流入心脏的驱动力。
中心静脉压 (central venous pressure,CVP) 是指上、下腔静脉和右心房交汇处的压力。
CVP 受到心功能、循环血容量和血管张力等方面影响,是反映体循环血液回流入心脏的难易程度。
保证机体静脉回流的通畅,取决于 MCFP 和 CVP 之间的差值,二者差值越大,体循环血液回流入心脏的压力梯度越大,静脉回流越通畅;二者差值越小,压力梯度则越小,静脉回流受到阻碍,引起体循环淤血。
因此,为了保证静脉回流的稳定性,我们需要维持一个较低水平的 CVP 。
而 CVP 常规通过有创导管进行监测,存在操作复杂、感染等风险,不适用于普通病房监测,因此, CVP 的一个替代指标登场,就是下腔静脉超声指标(图 2 )。
图 1 体循环回流入心脏的简易示意图
图片来源:作者绘制

图 2 下腔静脉和中心静脉压的关系简易示意图
图片来源:作者绘制
二、下腔静脉指标如何测量和解读?
下腔静脉的常规测量是在剑突下下腔静脉长轴切面,在距离下腔与右心房接口处 2cm 左右的位置进行测量(图 3 )。于呼气末测量其宽度作为基线水平(注:不论自主呼吸还是机械通气状态,均以呼气末作为基线水平),再测量吸气末时宽度,并计算呼吸变异率。

图 3 下腔静脉的测量位置
图片来源:作者提供
呼吸变异率分两种:塌陷率和扩张率。
其不同是源于呼吸模式的不同,导致在吸气时的静脉内径变异走势不同,我们分开来说。

(1)塌陷率,出现在自主呼吸状态。
对于自主呼吸的个体,呼气末期,胸腔内呈负压,更趋近于基线水平。当吸气时,胸腔内负压变得更负,这种胸腔内压力的变化可导致右心房内压力减小,静脉回流的速度增加,因此下腔静脉发生塌陷。
在这个过程中,右心房压力下降越明显,下腔静脉的塌陷就越明显。
(2)扩张率,出现在完全无自主呼吸的控制通气模式状态。
机械通气有一个弊端,就是反生理学的特性,它会干扰呼吸和循环的适配性。
正压通气过程中,吸气相,胸腔内压反而增大(与自主呼吸是相反的),此时右心房压力增高,静脉回流受阻,因此下腔静脉反而发生扩张。
因此,在 100% 自主呼吸时,和 100% 控制通气(无自主呼吸)时,我们对下腔静脉的计算指标,是采用两套公式进行的(图 4 )。

图 4 两种下腔静脉变异率的计算公式
图片来源:作者提供
这里需要强调一点的是:测量下腔静脉变异率,基于稳定的胸膜腔内压是前提!必须保证稳定的呼吸节律。
如果患者呼吸过深,塌陷率就会增加(变得更瘪);如果呼吸过浅,塌陷率就会减小(试想憋住气,下腔静脉还有塌陷率吗?),所以,在实际临床操作中,需保证患者的呼吸状况是稳定的。
三、下腔静脉纤细+塌陷,反映什么临床意义?
有人说,下腔静脉内径 <1cm ,塌陷率 >50% (纤细+塌陷),提示血容量不足。这种说法正确吗?
笔者认为该说法不全面。
我们可以观察一下,在日常来超声科检查的无心脏器质性疾病的健康者,是不是经常碰见下腔静脉内径 <1cm ,塌陷率 >50% 的?难道他们都是血容量不足吗?当然不是!
视频 1 健康体检者,下腔静脉呈纤细塌陷状态
视频来源:作者提供
下腔静脉纤细塌陷,是要结合心功能来综合评估的。
心输出量的正常值是 4~6L/min ,这就意味着,心脏每分钟泵出 4~6L 可维持大动脉血压和器官灌注。
因此,如果下腔静脉纤细塌陷,且心输出量减低、血压低、器官灌注不足,此时在除外心功能其它问题后,是可以考虑血容量不足的,需要用补液来提升血容量。
而如果下腔静脉纤细塌陷,但心输出量足够,血压正常,器官灌注正常,那就说明此时的血容量对于被检者来说,是正常的,是充足的。
如果此时单纯按照下腔静脉指标盲目判断这是血容量不足,对其进行补液,接下来,他自己通过自身体液调节,会把你补充的多余液体尿出去,继续维持一个纤细塌陷的下腔静脉。说明这根本不是血容量不足(图 5 )。
因此,当你测得下腔静脉内径 <1cm ,塌陷率 >50% 时,可以是正常情况,也可以血容量不足。

到底足不足,需结合心输出量、血压和器官灌注,看他究竟缺不缺。

图 5 下腔静脉、心输出量和器官灌注的关系简易示意图
图片来源:作者提供
四、下腔静脉扩张+固定,反映什么临床意义?
下腔静脉内径 >2cm ,塌陷率 <50% 甚至几乎无塌陷(扩张+固定),被认为是容量过负荷。
笔者认为,严格来说,我们应该称它为「 相对容量过负荷 」。
视频 2 下腔静脉呈扩张固定状态
视频来源:作者提供
当一个心功能正常的人,短时间内输入大量液体,可导致容量过负荷,下腔静脉呈现扩张固定状态。
而一个突发急性左心衰竭的人,由于心泵功能降低,导致本来不多的血容量,相对他自身的心脏,变多了,瘀滞在心肺循环内,引起下腔静脉扩张固定。
因此,下腔静脉扩张固定的本质,就是体循环容量负荷与自身心功能不匹配了!
导致下腔静脉扩张固定的原因有很多(图 6 ),任何阻碍血流顺利运行的因素,都可通过血流逆向的瘀滞,引起下腔静脉的扩张固定。
因此,当我们发现下腔静脉扩张固定时,不能盲目地采用脱水的策略,而是要结合心脏超声和肺超声,综合评估到底是哪出了问题。

图 6 导致下腔静脉扩张固定的原因
图片来源:作者提供
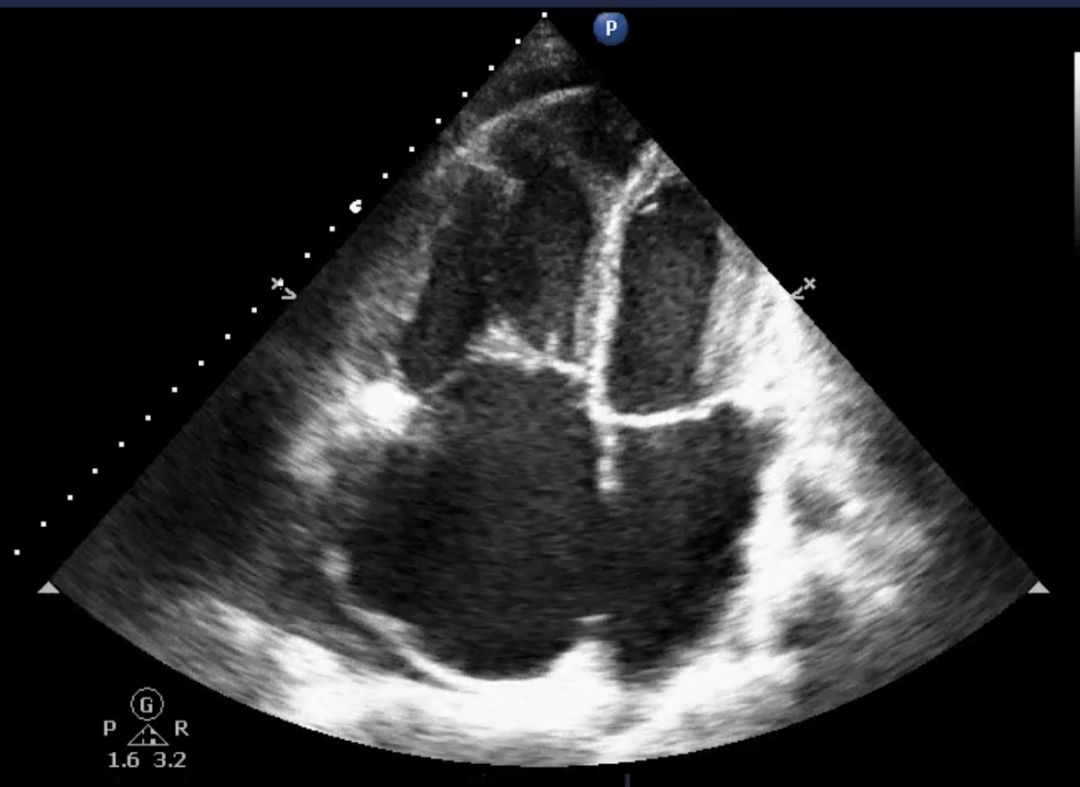
比如,我们面对的是一个肺栓塞的病人,表现为典型的肺心病(图 7 ),由于肺动脉高压、右心扩张等因素,下腔静脉表现为扩张固定。此时合并低血压,是因为左心室舒张末期容量不足,且被右心压迫( D 字征)导致舒张受限,左心室表现为「 收缩力正常,血容量不足 」的状态(因为血液都被肺动脉阻挡在右心了)。
此时,我们如果单纯根据下腔静脉扩张固定,就进行脱水的话,那么左心室舒张末期容量将进一步不足,血压可能继续下降,休克状态更加严重!

图 7 肺栓塞合并肺源性心脏病的超声表现
图片来源:作者提供
小 结
下腔静脉超声指标是反映体循环血液回流入心脏的难易程度的指标,其本质是评估回心血量和心功能是否匹配。
下腔静脉纤细+塌陷,不一定需要补液;下腔静脉扩张+固定,亦不一定需要脱水。它仅仅是反映了一个压力指标,但它非常重要!如果想进一步指导治疗,需结合心肺超声进行综合评估。
版权声明:本文内容由互联网用户自发贡献,该文观点仅代表作者本人。本站仅提供信息存储空间服务,不拥有所有权,不承担相关法律责任。如发现本站有涉嫌侵权/违法违规的内容,请联系我们,一经查实,本站将立刻删除。
如需转载请保留出处:https://51itzy.com/kjqy/179948.html