影像时间
病例展示
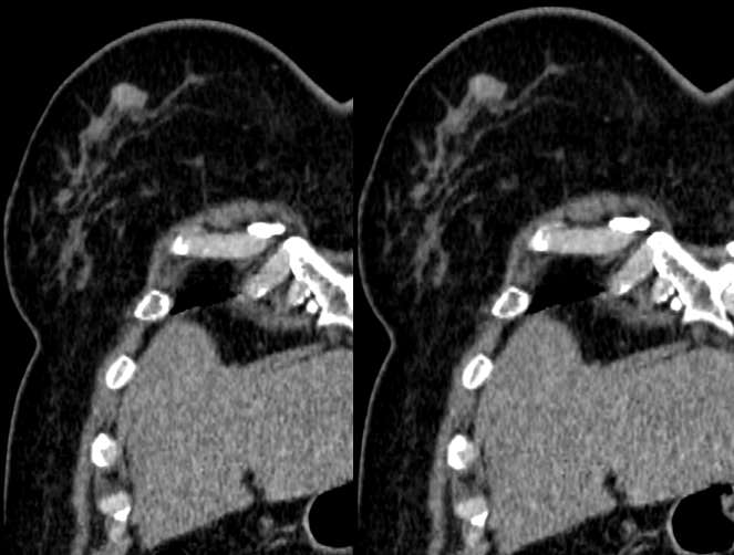
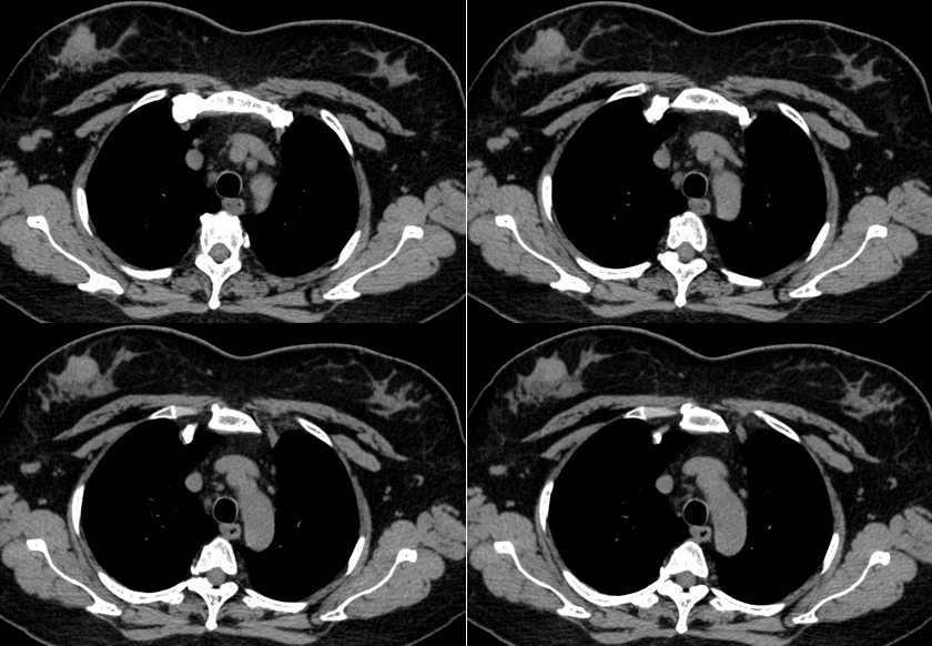
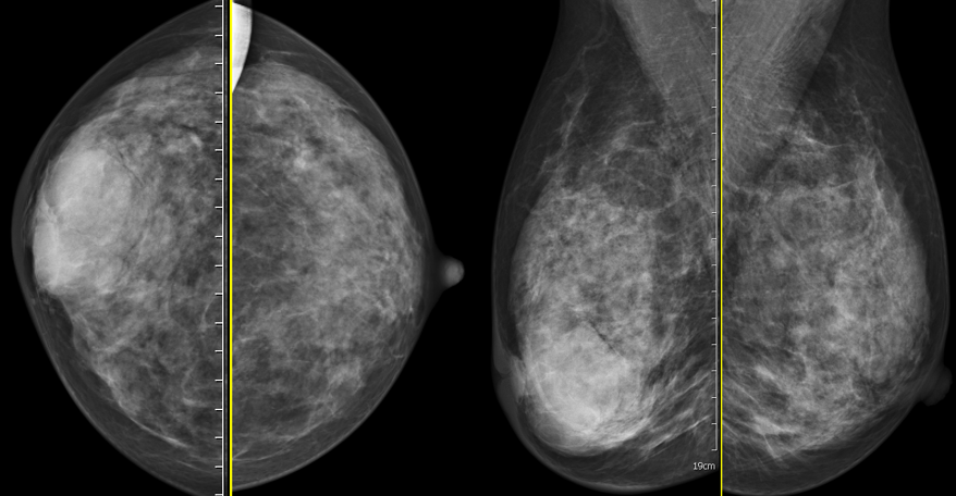
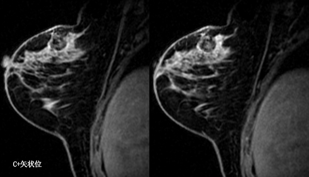
MG/CT:
乳腺炎:包括急、慢性乳腺炎和乳腺脓肿,多见于产后哺乳期妇女,急性乳腺炎常有典型的临床症状-红、肿、热、痛;若治疗不及时可形成慢性乳腺炎或乳腺脓肿。MG 表现片状致密影,边缘模糊,患处皮肤水肿增厚,皮下脂肪层模糊;MRI-T1WI 表现为片状低信号,T2WI 高信号,信号强度不均匀,边缘模糊,皮肤水肿、增厚,增强 MRI 通常表现为轻至中度强化,且以延迟强化为主。
作者 | 歳鈅如歌
插图来源 | 作者提供 、引用参考文献
题图来源 | 图虫创意

投稿转载 | @.com
版权声明:本文内容由互联网用户自发贡献,该文观点仅代表作者本人。本站仅提供信息存储空间服务,不拥有所有权,不承担相关法律责任。如发现本站有涉嫌侵权/违法违规的内容,请联系我们,一经查实,本站将立刻删除。
如需转载请保留出处:https://51itzy.com/kjqy/207355.html