讯享网
前言
我国目前仍有超过一半的肝细胞癌(HCC)患者在初诊时即为中晚期,丧失手术切除机会,而部分可手术患者术后复发转移率高,预后不佳。随着外科手术技术的革新、系统治疗和局部治疗手段的丰富和进步,通过综合治疗策略为肿瘤转化提供可能、使患者降期后获得手术切除机会,或提高R0切除率降低手术风险,从而实现患者更好的生存获益。临床实践中,针对潜在可切除的HCC患者究竟选择何种系统治疗方案尚未统一。从目前HCC一线系统治疗的临床研究(CARES-310研究)数据来看,相较于索拉非尼组,卡瑞利珠单抗联合阿帕替尼组的中位总生存期(OS)显著延长,达到23.8个月,3年OS率为37.7%,客观缓解率(ORR)达33.1%(mRECIST),中位起效时间(TTR)仅为1.9个月,为HCC患者实现长期生存奠定了坚实的基础,也为转化治疗选择提供了宝贵的参考。
本期邀请阎雄教授分享一例CNLC Ⅲa期原发性HCC患者的诊疗经过。该患者经TACE+卡瑞利珠单抗联合阿帕替尼治疗,病灶缩小,mRECIST评价为PR。后行右半肝切除术,长期随访未见肿瘤复发。
阎雄 教授
- 主任医师,副教授,医学博士,硕士生导师
- 从事普外科及肝胆外科30余年,尤其是在肝胆胰脾疾病的诊治方面有相当高的造诣,掌握肝脏肿瘤介入治疗、肝门胆管癌、胆管癌、胰头癌、十二指肠乳头癌、肝内外胆管结石、门静脉高压、肝血管瘤等疾病的多种治疗手段,在微创外科方面对腹腔镜胆囊切除、腹腔镜胆总管探查、腹腔镜脾切除、腹腔镜肝段切除、腹腔镜胰体尾有很深入的研究。
病例介绍
基本信息:男,49岁,因“体检发现肝占位1月”于2019-4-18入院。
现病史:1月前,患者体检行腹部彩超发现肝脏占位,大小约13*12cm,无腹痛、腹胀、乏力等不适,无黑便,小便颜色正常,为求进一步诊治入院。
既往史:乙肝超过10年,未正规随访治疗。
入院查体:神清,皮肤巩膜无黄染,无肝掌、蜘蛛痣,全腹软,无压痛,肝区无叩痛,全腹未扪及包块,移动性浊音阴性,双下肢无水肿。
辅助检查
实验室检查
➣ 乙肝两对半:“小三阳 ”,HBsAg (+)、HBeAb (+)、HBcAb (+)
➣ HBV-DNA<1×10e³ IU/ml
➣ AFP: ng/ml
➣ 血常规、肝功、凝血功能、心肺功能正常
影像学检查
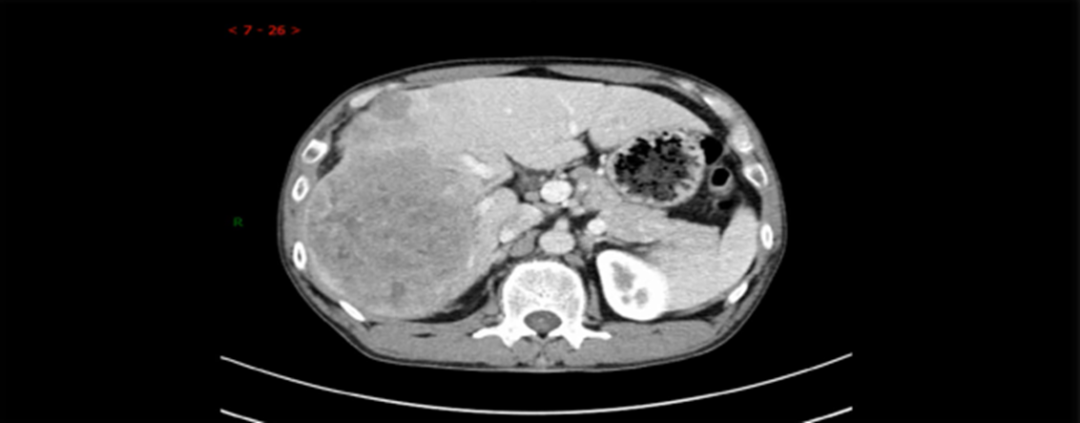
➣ 2019年4月23日,腹部增强CT:右肝巨块型肿块,大小约16*15*10cm,伴周围子灶形成;右肝静脉、门静脉右后支受侵;肿块体积 1236.63㎝³,左肝体积 863.97㎝³。
临床诊断
原发性肝癌(CNLC Ⅲa期,BCLC C期)
诊疗经过1
➣ 病灶及受累血管局限在右半肝;Child-Pugh A级;剩余肝体积 / 标准肝体积 > 40%;ICG 15分钟滞留率=25%。因此,不可手术切除。
治疗方案:TACE+靶向+免疫
2019-4-26,TACE(雷替曲塞、多柔比星脂质体化疗+碘油、PVA/微球超选栓塞),每月1次,2019-6-14进行第二次介入,2019-7-26进行第三次介入,2019-10-14进行术后第一次介入,2020-4-15术后第二次介入。
➣ 2019-4-28至2023-10-07,阿帕替尼(250mg,口服,每日1次)
➣ 2019-7-27至2020-01-15,卡瑞利珠单抗(200mg,静滴,每2周1次)
➣ 治疗期间,抗病毒(恩替卡韦 5mg qd)+保肝(还原性谷胱甘肽 400mg tid)

疗效评价1
mRECIST评价标准:PR
➣ 目标病灶(动脉期增强显影)的直径总和缩小>30%
肿瘤体积明显缩小:749.25⁄1236.63 cm³ ≈60%
随访结果
诊疗经过2
➣ 病灶及受累血管仍局限在右半肝,且病灶缩小;安全性:Child-Pugh A级;剩余肝体积 / 标准肝体积 > 40%;ICG 15分钟滞留率=6.4%,手术切除可行。
➣ 2019-8-15,右半肝切除术
术后病检及基因检测:
➣ 术后病检:中-低分化肝细胞癌伴大片坏死,切缘未见癌累及。
➣ 基因检测:
疗效评价2
➣ 2019-9-12至2020-11-3,APF从322 ng/ml逐渐下降至2.5 ng/ml
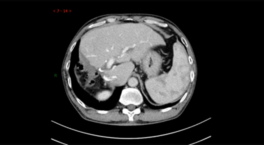
➣ 2020-11-3,CT检查示:残肝增大,肝断面有少许的渗出,肝内未见新生病灶,门静脉未见充盈缺损。
➣ 2021-01-24,AFP : 2.7 ng/ml
➣ 2021-01-24,超声:肝右叶切除术后,残余肝左叶形态稍饱满。
➣ 2021-04-10,AFP : 2.6 ng/ml
➣ 2021-04-8,CT:肝右叶、胆囊未见显示,考虑术后改变,术区未见确切肿瘤复发征象。
➣ 2021-04-9,MRI:术区未见确切肿瘤复发征象。
➣ 2021-11-24,AFP : 2.8 ng/ml
➣ 2021-11-23,CT:肝右叶、胆囊未见显示,考虑术后改变,术区未见确切肿瘤复发征象。
➣ 2021-11-24,MRI:术区未见确切肿瘤复发征象。
➣ 2023-02-9,AFP : 2.7 ng/ml
➣ 2023-02-9,CT:术区未见确切肿瘤复发征象。
➣ 疗效评价为CR。
➣ 2024-10-13,AFP:3.0 ng/ml
➣ 2024-10-14,CT显示术区未见确切肿瘤复发征象。

病例总结
该患者为多发原发性肝癌(CNLC Ⅲa期,BCLC C期)患者。因肝功能储备不足而无法手术切除,根据原发性肝癌诊疗指南,为延长患者无进展生存期(PFS),遂采用TACE+卡瑞利珠单抗联合阿帕替尼治疗。mRECIST评价为PR。再次评估可行手术切除。术后定期复查,APF呈逐渐下降趋势,随访至今未见肿瘤复发。

专家点评
Q1:这是一例CNLC Ⅲa期巨块型肝癌患者成功转化,获得手术机会的病例。您如何看待转化治疗的价值,以及临床上一般会选择什么样的患者进行转化治疗?
阎雄教授
转化治疗的价值在于使病人获得根治性治疗的机会,继而让病人获得较长的无瘤生存期及总生存期。肝癌不可切除的原因可分为外科学原因和肿瘤学原因,在临床上我们一般会选择CNLCⅡb期和Ⅲa期肝癌患者进行转化治疗。
Q2: 选择合适的肝癌患者实施转化治疗后,评估转化成功的标准是什么?目前常用的转化治疗方案有哪些?
阎雄教授
评估转化成功的标准是对于中晚期不可手术切除的肝癌患者,通过系统治疗及局部治疗后,从而实现从不可切除肝癌向可切除肝癌的转化。转化治疗主要包括针对肿瘤的转化治疗及针对肝脏组织的治疗,而针对肿瘤的转化治疗包括系统(药物)治疗和局部治疗(TACE、HAIC、SIRT、放疗),主要以TACE为主;对于肝脏组织的治疗主要包括增加剩余肝脏体积和改善肝脏功能和抗病毒治疗。
Q3:从病例中可以看到,患者经TACE+卡瑞利珠单抗联合阿帕替尼治疗后获得PR,成功转化并完成手术。能否请您对该方案的临床应用做一下点评?
阎雄教授
该例患者主要采用多模式联合治疗的转化治疗方案,以系统(药物)治疗和局部治疗(TACE)为主,而系统治疗采用的是卡瑞利珠单抗联合阿帕替尼的治疗方案,该方案被用于不可切除晚期肝细胞癌的一线治疗,具有较好的临床疗效,且安全性总体可控,结合本例患者成功转化治疗并最终成功实施手术切除,因此该方案对于中晚期肝癌患者治疗是有效的。
Q4:请您最后简要总结该病例以及带给我们的临床启示?
阎雄教授
转化治疗是提高中晚期肝癌病人生存期的重要途径,而多模式联合治疗是治疗肝癌的趋势,我们应该以病人为中心,以疗效为目的,以循证医学为依据制定方案,通过制定合理的转化治疗方案,将延长病人的生存期作为转化治疗的终极目标。
编辑:Robert
审校:Robert
排版:Yian
执行:Squid
医脉通是专业的在线医生平台,“感知世界医学脉搏,助力中国临床决策”是平台的使命。医脉通旗下拥有「临床指南」「用药参考」「医学文献王」「医知源」「e研通」「e脉播」等系列产品,全面满足医学工作者临床决策、获取新知及提升科研效率等方面的需求。
本平台旨在为医疗卫生专业人士传递更多医学信息。本平台发布的内容,不能以任何方式取代专业的医疗指导,也不应被视为诊疗建议。如该等信息被用于了解医学信息以外的目的,本平台不承担相关责任。本平台对发布的内容,并不代表同意其描述和观点。若涉及版权问题,烦请权利人与我们联系,我们将尽快处理。
点击“阅读原文”查看更多消化道肿瘤病例
版权声明:本文内容由互联网用户自发贡献,该文观点仅代表作者本人。本站仅提供信息存储空间服务,不拥有所有权,不承担相关法律责任。如发现本站有涉嫌侵权/违法违规的内容,请联系我们,一经查实,本站将立刻删除。
如需转载请保留出处:https://51itzy.com/kjqy/174338.html