原位癌突破基底层(原位基底细胞癌)编者按 o p 当癌细胞在全身扩散却找不到源头 诊断和治疗的难度可想而知 这是 59 岁闫先生的真实故事 在一次次检查和排查中 病灶犹如 谜题 般无迹可寻 o p 然而 随着一种新技术的引入 这场医学探案终于揭晓谜底 本文将带您深入这场惊心动魄的 侦破 之旅 感受医生们在困境中的执着与突破 o p 找不到 源头 的癌症 59 岁闫先生近一年来经常全身疼痛 当地医院的检查结果显示
大家好,我是讯享网,很高兴认识大家。
当癌细胞在全身扩散却找不到源头,诊断和治疗的难度可想而知。这是59岁闫先生的真实故事——在一次次检查和排查中,病灶犹如“谜题”般无迹可寻。
/o:p
然而,随着一种新技术的引入,这场医学探案终于揭晓谜底。本文将带您深入这场惊心动魄的“侦破”之旅,感受医生们在困境中的执着与突破。
59岁闫先生近一年来经常全身疼痛。当地医院的检查结果显示,他的癌细胞已经转移至身体的多个部位——淋巴、骨骼、肝脏,四处“烽烟”让人不禁想问,这一切的起因在哪里?
/o:p

(黑**域为活跃的癌细胞)
然而,经过一轮又一轮的检查,各类穿刺活检、基因检测、CT、彩超、磁共振,甚至骨扫描、肠镜、胃镜,病灶竟无处可寻。这让医生们不禁陷入疑惑:癌症的“源头”究竟藏在哪里?
8月,闫先生来到河南省肿瘤医院就诊。入院后,医生仔细检查了闫先生过往资料,结合闫先生前列腺指标和影像学异常,医生为他做了前列腺穿刺活检,然而病理结果显示并未发现癌细胞,排除了前列腺癌的可能性。
由于闫先生颈部淋巴结肿大明显,为进一步明确诊断,于是对他进行了颈部淋巴结穿刺。但显微镜下的癌细胞分化较差,免疫表型特征也不典型,且有效靶细胞数量有限,因此未能得到明确的诊断依据。
一时间,原发病灶成了一个谜团。
为缓解闫先生的疼痛感,医生将他转到中西医结合科。
中西医结合科主治医师孙旭接手后,首先,
采取针灸、贴敷等中医手段,希望先缓解闫先生的疼痛。
然后,将检查结果仔细查看,
在进行多项排查后,孙旭怀疑疼痛是否由骨原发肿瘤引起,
为了探明原因,孙旭对骨病灶进行了穿刺,同时结合血液、影像检查逐项排查。
遗憾的是,检查结果显示,这些症
状并不符合原发性骨髓瘤或骨癌特征。
只有找到原发病灶,才能进行针对性治疗以达到最优效果,但随着一个个可能性被排除,原发病灶的诊断显得愈发棘手,病情扑朔迷离。
在仔细沟通闫先生病情后,
孙旭联系病理科助理研究员张贺决定使用一项省内刚刚引入的新技术——肿瘤组织起源基因检测。
/o:p
病理科主任夏庆欣表示,这项技术是我院去年引进的填补省内空白的新技术,针对不明原发或多原发肿瘤进行基因表达谱检测,结合人工智能算法精准预测肿瘤组织起源,并且已进入中国肿瘤整合诊治指南推荐。目前,省肿瘤医院是全省第一家能够利用此技术进行检测的医院。
结果显示,闫先生病灶中的癌细胞很可能起源自肺部。
/o:p

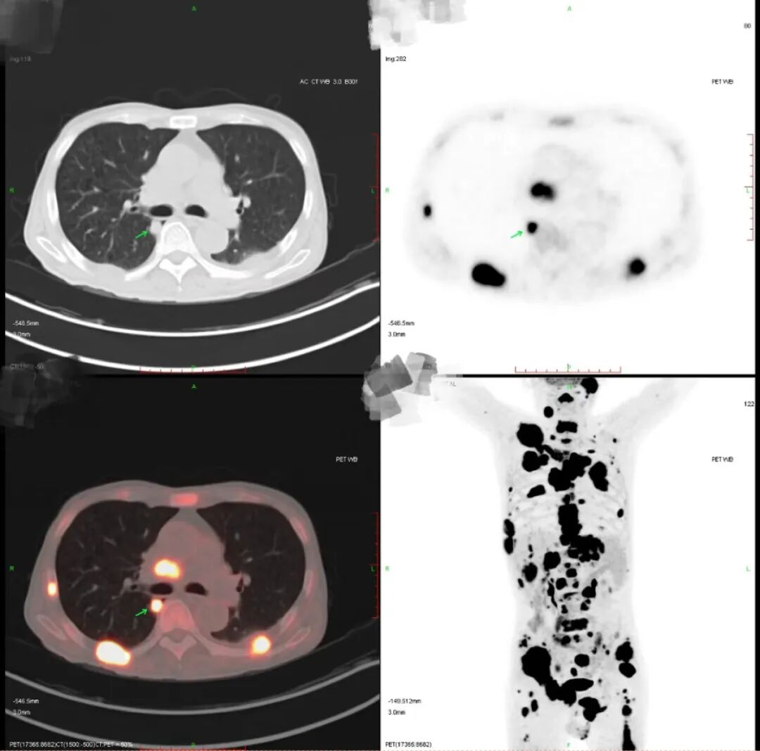
(PET-CT提示右肺上叶恶性病变可能,
且伴有全身多发转移)
孙旭迅速为他安排了PET-CT,结果在右肺上叶发现了一个小于1公分的病灶。
/o:p
谜团解开了,闫先生确诊为肺癌晚期,且伴有多处转移。医生们的努力终于找到了真凶,这起“悬案”就此告破!
/o:p
确诊后,下一步就是为闫先生制定精准的靶向治疗方案。幸运的是,检测显示闫先生具有EGFR基因突变,这为他的治疗提供了靶向药物的支持。
/o:p

在接受治疗后,他的疼痛迅速缓解,身体状况明显好转,从无法翻身到可以下地活动。这场医学探案用近一个月的时间为患者带来了希望,也展现了新技术在肿瘤诊断中的重要性。
/o:p
现代医学的力量在于面对疑难时的坚持和不懈探索,正因如此,才让闫先生在这场生死之战中得到了一线生机。未来,随着基因检测等技术的普及,相信会有更多癌症患者能得到及时的诊断与治疗,为更多家庭带来希望。
病理科主任,主任医师,硕士生导师。
国家卫健委能建与继教中心淋巴瘤专科建设病理组专家
,
河南省抗癌协会肿瘤病理专委会副主任委员
,
河南省医学会病理学分会乳腺学组
组长,
中国抗癌协会肿瘤病理专委会常委
,
中国抗癌协会淋巴瘤专委会委员
,
中华医学会病理学分会淋巴瘤学组委员
,
中国医师协会病理科分会委员
,
中国研究型医院学会肿瘤病理专委会副主任委员
。
从事病理诊断工作30年,研究方向为胃肠道肿瘤、甲状腺肿瘤、淋巴造血系统肿瘤。
病理科助理研究员,博士后,郑州大学硕士生导师,河南省医师协会病理医师分会首届青年委员会委员,河南省医学会病理学分会青年委员会委员,河南省医学会病理学分会第一届分子病理学组委员,河南省医学会病理学分会病理技术学组委员,河南省研究型医院学会分子肿瘤首届专委会委员,第二届中国研究型医院学会病理学专委会委员。主持国家自然科学基金青年项目、中国博士后面上项目、河南省科技厅、河南省卫健委等多项课题,发表SCI论文16篇,核心期刊8篇。
中西医结合科主治医师,医学博士,博士后,中国中西医结合学会肿瘤专委会青委,中国抗癌协会中西医整合食管癌专委会委员,河南省中西医结合学会肿瘤分会秘书,河南省抗癌协会肿瘤分子医学专委会青委常委,河南省生命关怀协会肺癌专委会青委副主委。主持中国博士后科学基金面上项目1项,国家自然科学基金青年项目1项,省厅级科研项目4项,人才项目1项,作为研究骨干参与国家科技部重点研发项目1项。发表学术论文20余篇。研究方向:中西医结合肿瘤临床及机制研究。
审核:庞红卫 夏庆欣
编辑:陈玉博
综合大河报报道
图片由科室提供

版权声明:本文内容由互联网用户自发贡献,该文观点仅代表作者本人。本站仅提供信息存储空间服务,不拥有所有权,不承担相关法律责任。如发现本站有涉嫌侵权/违法违规的内容,请联系我们,一经查实,本站将立刻删除。
如需转载请保留出处:https://51itzy.com/kjqy/201071.html