原位癌是一种早期非浸润性癌,它局限于黏膜上皮或者皮肤表皮层内。具体可见参考下图:
讯享网
从原位癌想浸润癌转变的关键是突破了基底膜,因为基底膜往下是疏松结缔组织,肿瘤更容易发生浸润,而且这种微环境有利于肿瘤的生长迁移。
在购买商业保险重疾险时需要注意,因为原位癌对身体危害性并不大,所以在保障上并不能算是重疾里的一员,并不能获得重疾险的保障。
原位癌可通过早期筛查发现,及早干预可治愈。
距离做肺部CT到现在,时间过去了25天,期间了解了有关磨玻璃结节的很多知识,也在知乎发了帖,得到很多小伙伴的建议,让我感受到温暖和力量。十分感谢!
准备好裁剪好的CT图,可医院给刻录的光盘,将信将疑地注册了好大夫账号。综合了百度的结果和网友推荐的情况,最终挂了孙希文的问诊号,选的图文问诊。
昨天下午问的,昨晚就得到了医生肯定的回答——“原位癌”
心里怎么说呢,一瞬间担心害怕,晚上十二点多睡不着,一边宽慰自己,一边担心,还偷摸抹了半天眼泪。
看来奶是必须给宝宝断了。晚上小土豆醒了嗷嗷嗷要喝夜奶,哄半天无果,只好给喂奶,我拍着她跟她说“周末开始,妈妈就不能给你喂奶了哈,妈妈生病了需要手术治疗,有健康的身体才能更好地陪宝宝长大。”说着心里还不落忍地,14个月的小豆芽菜,貌似啥也不懂呀。
下面面临的大问题,就是原位癌的手术时机。
孙主任给的结果是混杂性结节,原位癌。至于手术建议,说的是:“现在手术省心了;以后手术有一点点风险,怕会慢慢长大,一般涨到8mm需要很多很多年。”
我纠结的很,不知道该现在做,还是等等看。。。
还没过问诊时效,等等看。心里纠结的很,来知乎找个出口~~~
不要嫌我聒噪。。。
距离拿到检查报告已经过去了一个多月,综合本地三甲医院和网上问诊孙希文医生的结果,确定是原位癌。
那么问题来了,对于6.3mm(原位癌)+2mm(非典型增生)两个结节的情况,我需要手术吗?需要的话,最好的手术时机是什么?
每个人的情况不一样,我说说我的纠结点。
一、若手术,有以下几个问题需要解答:
1、手术本身对身体的伤害、对肺部的伤害,手术后遗症、并发症(如气胸、伤口愈合不好、肺部感染等)
2、手术切除之后,如果再长其他的结节,怎么办,再次手术吗?切除的肺段太多,还有生活质量吗?
二、若不手术,有以下几个问题很头疼:
1、有近两年要二胎的打算,那么,身体激素变化会不会引起结节的变化?需不需要在要二胎前把结节切掉?
2、会不会因为拖延耽误了好的治疗时机,进而发展为微浸润甚至浸润?
3、真的头疼。。。
群里病友有做完手术的,有正在住院等候手术的,更多的是像我一样纠结是否需要手术的,大家互相鼓励互相取暖,真的十分感动。
说一千道一万,最后的决定还是需要自己作。希望有经验的医生或者网友,能给一些建议作参考。
一定要保持好的生活节律,坚持锻炼,健康饮食,不要熬夜啊!!!!
大家好,我是小理赔员,你身边的理赔小能手。
本文关键词:
上皮性肿瘤
引言:
恶性肿瘤是目前重大疾病理赔占比最高的重大疾病,并且占比在50%以上,肿瘤的类型也多种多样,今天我们一起学习常见肿瘤中的上皮性肿瘤。
良性上皮性肿瘤
★ 乳头状瘤:
肿瘤向表面外生性生长形成乳头状突起,并可呈现菜花状或绒毛状外观,由覆盖上皮发生。
肿瘤的根部都较狭窄形成蒂与正常组织相连。
在镜下可为鳞状上皮、柱状上皮或移行上皮。
一般在外耳道、阴茎即膀胱和结肠的乳头状瘤比较容易转变为乳头状癌。
★ 腺瘤:
由腺上皮发生的良性肿瘤,粘膜腺的腺瘤多呈息肉状,腺器官内腺瘤呈结节状,且常有包膜,与周围正常组织分界清晰,结构与起始腺体十分相似,通常具有一定的分泌功能,能分泌浆液和粘液,常见于甲状腺、涎腺、卵巢、乳腺等处。
★ 恶性上皮组织肿瘤:
恶性上皮组织肿瘤统称为癌,多见于40对以上的人群,常以浸润性生长为主,与周围组织分界不清。
发生于皮肤、粘膜表面者呈息肉状或菜花状,表面常有坏死以及溃疡的形成,发生在器官内者为不规则的结节状。
癌早起一般经淋巴道转移,到晚期才会发生血道转移。
这与间叶组织恶性肿瘤有区别,恶性间叶组织肿瘤主要先经血道转移。
癌的常见类型有一般有以下几种:
鳞状细胞癌
常发生于原有鳞状上皮覆盖部位,例如皮肤、唇、子宫颈、阴道、口腔、阴茎、食管等,也有可能发生于鳞状上皮化生的部位,例如支气管、肾盂、胆囊等部位。
正常时虽然不由鳞状上皮覆盖,但也可以通过鳞状化生而发生鳞状细胞癌。
肉眼呈菜花状,可向深层浸润性生长。
分化好的鳞状细胞癌可以在镜下观察,层状角化物称为“癌珠”,分化较差的鳞癌无角化珠形成,甚至也无细胞间桥,瘤细胞呈明显的异型性并见较多的核分裂象。
基底细胞癌
多见于老年人面部,比如眼睑、颊及鼻翼等地方,由该处的原始上皮细胞或基底细胞发生。
癌巢主要由浓染的基底细胞样的癌细胞构成。本癌生长缓慢,表面常形成溃疡,并可浸润破坏局部的深层组织,但很少发生转移。
本癌对放射治疗敏感,临床呈低度恶性。
移行上皮癌
肾盂、膀胱等处移行上皮容易发生,呈乳头状、多发性,可溃破形成溃疡或广泛浸润膀胱壁。
在镜下癌细胞似移行上皮,呈多层排列,异型性明显。
腺上皮癌
多见于子宫体、胆囊、胃肠等。是腺上皮发生的恶性肿瘤,分化较好的具有腺样结构的称为腺癌,分化差的则形成实体性癌巢,不形成腺腔的称为实体癌。
分泌粘液较多的称为粘液癌,又可以称作胶体癌,常见于胃部和大肠。
在镜下可见粘液聚集于癌细胞内,将核挤向一侧,使得该细胞呈印戒状,称为印戒细胞。
癌前病变、非典型性增生、原位癌
★ 癌前病变:
指某些具有癌变的潜在可能性的病变,比如长期存在不及时治疗就有可能转变为癌。
较常见的癌前病变有胰腺癌几种:
1. 粘膜白斑:
常见于口腔、外阴等处的粘膜。由于鳞状上皮的过度增生和过度角化并有一定异型性,长期不愈的可转变为鳞状细胞癌。
2. 直肠、结肠的腺瘤**肉:
单发、多发均可能发生癌变,有家族史的多发者更易发生癌变。
3. 乳腺增生性纤维囊性变:
常因内分泌失调引起,伴有导管内乳头状增生者较容易发生癌变。
4. 慢性溃疡性结肠炎:
在反复溃疡和粘膜增生的基础上可发生鳞状上皮增生,容易癌变。
5. 皮肤慢性溃疡:
经久不愈的皮肤溃疡和瘘管,特别是小腿慢性溃疡可发生鳞状上皮增生,容易癌变。
6. 肝硬化:
慢性病毒性肝炎进展为肝硬化,相当一部分可进一步进展为肝细胞性肝癌。
7. 慢性萎缩性胃炎及胃溃疡:
慢性萎缩性胃炎的胃黏膜上皮的肠上皮花生可发生癌变。慢性胃溃疡长期不愈的,也有可能发生癌变,其癌变概率大约为1%。
8. 慢性子宫炎伴宫颈糜烂:
这是妇科常见疾患,是在慢性宫颈炎基础上,宫颈阴道部的鳞状上皮被来自子宫颈管内膜的单层柱状上皮取代,可以转变为宫颈鳞状细胞癌。
★ 非典型性增生:
是上皮细胞异常的增生,形态呈现一定程度的异型性,但不足以诊断为癌,多发于皮肤或粘膜表面的鳞状上皮,也可以发生于腺上皮。
这种典型性增生如果累及2/3以上,尚未到达全层的为重度非典型性增生,很难逆转从而发生癌变,癌前病变常常通过这种形式转变为癌。
★ 原位癌:
指粘膜鳞状上皮层内或皮肤表皮内的重度非典型增生几乎累及或累及上皮的全层,但尚未侵破基底膜而向下浸润生长者称为原位癌。
例如子宫颈、食管以及皮肤的原位癌。
下一篇,
一起学习间叶组织肿瘤。
大家好,我是数据君。
WHO国际卫生组织在《国际疾病分类肿瘤专辑》第三版(ICD-0-3)从形态学编码上将肿瘤大致分了几类:良性肿瘤、交界性肿瘤(无法定性为良还是恶)、原位癌及非侵袭性癌(肿瘤的最早期)、恶性肿瘤四大类。
所以肿瘤不存在非良即恶也不存在非恶即良,交界性肿瘤及原位癌是两种特殊的存在。关于这两种特殊的存在,新定义重疾新规中无论是“恶性肿瘤-重度”,还是“恶性肿瘤-轻度”都明确规定了这两种都是不赔付的。
而关于原位癌,老版重疾里几乎全部将其放在轻症里赔付,赔付20%到55%不等,近期新出了不少新重疾,每一家对于原位癌的定义与赔付不尽相同,作为最高发的四种轻症之一的原位癌有必要单独拎出来探讨。险
银保监会并没有将原位癌纳入到最高发的三种轻症里,而是各家保司可以自己决定是否将其纳入轻症里。
从目前新出的20款左右的新重疾,只有3款产品是不包含原位癌责任的。虽然并没有包含,但是某方面可能使产品的价格略微下调。
30种轻症,每次赔付30%;原位癌单独作为一种疾病区别于轻症赔付,赔付20%。这种就是即保留了原位癌责任又降低了原本作为轻症30%赔付比例,走了一条中庸之路。
这里除外了CIN3。而宫颈原位癌中的CIN3包括原位癌以及重度不典型增生。
当异性细胞达上皮层2/3以上但没覆盖全部就是重度不典型增生,如果覆盖了全部那就是原位癌了。而这里笼统地将CIN3里包含的两种全部除外那就有点不太友好了。
而上图的除外就明确了CIN3里除外重度不典型增生,但是不除外宫颈原位癌!其实上图中的所有除外本来就都不属于原位癌的范畴,本质上属于没有除外,和下图中没有除外的原位癌属于保障最为宽松的条款了。
除外CIN3的公司基本是就是除外了,可是有一家虽然把CIN3除外了,但是将其放在了前症里,赔付15%-20%,但是缴费期内罹患前症是不会豁免保费的,而在轻症是可以豁免的。
当然也有一些公司不仅仅是除外宫颈原位癌了,几乎所有上皮内肿瘤原位癌都是除外。
上皮内肿瘤(IN)包括了多个器官上皮的不典型增生或异型增生性病变。可能出现IN的器官有宫颈、前列腺、子宫内膜、消食管、胃肠等器官。发生在宫颈上叫CIN,发生于外阴上叫VIN,发生在阴茎上皮内叫PIN……
IN包括1级、2级以及3级,3级里异形细胞覆盖满的话那就是原位癌了,这里除外了上皮内癌变,也就是除外了这些器官的3级原位癌。
当然也有极个别的条款,数据君表示完全看不懂:
比如这种除外了非浸润性癌、非侵袭性癌。可是每种原位癌都是非浸润性的啊,完全不知道这个除外究竟在说些什么。
保险医学真的是博大精深,晦涩难懂,数据君已经尽力了,只能探讨到这里。而数据君就喜欢富德生命的尊享健康和和谐健康福满一生这种没有除外的原位癌条款,真真切切,诚意十足。
下期见!
想必搜索并且看到这篇文章的你,多少带着点儿焦虑。
我之前也一样,主要目的是想了解,遇到这个情况后,到底该怎么办,都会经历些什么,要花多少钱,怎么恢复,对后期生活有没有影响等问题。
今天,是我复工的第一天,利用空余时间为大家分享一下,我从发现肺部结节到手术的感受和经历。
2020年9月在单位常规体检中,体检项目第一次由胸片改为低剂量螺旋CT,发现了左肺0.9cm磨玻璃结节,随即我做了一系列操作:
1.淡定,以为小毛病,像皮肤长了个痘痘。
2.有点儿慌,赶紧挂了江苏省医院专家号会诊,专家答曰:“情况不妙,可趁年轻,开掉。当然,也可3个月密切随访。”
3.更慌,开始在网上详细了解,并着手准备可能要手术。
4.坦然面对,因为我家族里,奶奶是鼻咽癌、姑姑是骨癌,我自认为逃不掉,早晚也要挨一刀,决定手术。9月查出结节以后,医生建议可以等三个月,复查看结果,因为是首次发现,也可能是炎症。
12月再次复查,结节没有变大也没有变小,我决定手术。病理为原位腺癌。
我手术医院在南通第一人民医院,许一鸣主任主刀,医院的护士和医生都很好,目前恢复也不错。
给想要手术的朋友一些参考:
1.尽量在星期一去办理住院,女生也要避开生理期,入院需要大概两天左右的检查,最终才能做手术。我是周三去的,等核酸一天,周四才入院,周六检查结束,周末医生休息,耽搁了很多时间,周一第一台手术,7.30进去,下午3点过出来,然后在监察室呆了一晚。
2.手术感觉,很痛,每一口呼吸都痛,全身插满管子,大家记住一定要忍着剧痛,咳嗽!咳嗽!我就是怕痛,咳嗽的不好,多住了2天院,隔壁床62岁阿姨,很能忍,6天就出院了。
3.手术费用为6万4左右,住院8天,医保报销以后加上南通有个关于恶性肿瘤的补贴报销了2千左右,最终自费9千(感谢有医保!!!),后期医保还有一个每年4千的复查补助,这个4千是直接打到医保卡内,看病门诊用的,补贴5年,一共2万。手术后,5年内有复发的可能,概率为2%左右,所以有定期复诊。另外单位工会有慰问,你可以提前去工会问问,我之前也不知道,感谢遇到了一个好领导。
4.如果有缘你在无意间看到我这篇文章,那请你一定一定要听我的,买个保险,特别是重疾险,一旦查出结节,终身与保险无缘。我现在特别后悔,特别,特别后悔没有买。后悔终生。
5.手术恢复,出院以后在家养着,吃高蛋白食物,多走动,并且吹呼吸训练球,大概半个月,你就跟正常人一样了。我现在手术2个多月,几乎没什么感觉了,只是伤口还有些麻木。
6.我做了基因检测,费用7千,只做了关于肺的。虽然是原位,但是我还是坚持做了,主要怕家族遗传,最后结果是好的,基因没有突变。那我这个癌,就是后天形成的。
反思我这30年,我认为我会得这个恶性肿瘤,跟我的个人情绪有很大关系,我这个人性格急,脾气不好,很容易发火,控制不好自己情绪。我的生活习惯挺好的,几乎都是早睡早起,远离垃圾食品,工作压力也不大。
写在最后,感谢老天的不杀之恩,在剩下的日子里,将怀着感恩之心和敬畏之心生活。
拜托我自己,调整好自己情绪,少操心,开心乐观地生活吧!
祝愿看到此文的陌生人有好运气!如果还有什么疑问,可以问我,我会抽空回答。
————分割线————
今天有网友问我关于基因检测的问题,我才想起来我得修改一下文章。
4月我去复查了,胸腔还有极少量积液,医生说没啥问题,同时我也给他看了我的基因检测报告,他告诉我没检测出来,说明没有合适的靶向药,等于说,这个七千块白花了T-T 并不是说基因没有遗传。
另外,我父亲因为一次车祸,意外查出来右肺部结节1.5cm。我想,他估计也是早期肺癌,这样说的话,我就是遗传了我父亲基因中的……
暑假回家带父亲去做手术,后期再与大家分享。
————分割线————
6月底安排好工作后,火速赶回老家。6月27号带爸爸住进了成都市第七人民医院,6月29号做了胸腔镜手术,术后病理跟我预料的一样,已经浸润了……
这次手术本来想去更好的华西或者省医院,但是大医院都要排队等手术,我们等不及了,就折中选了这家医院。医院的医生也还好,就是护士态度非常恶劣,可能是她们太忙、太累了,晚上经常看到只有一个护士跑病房,遇到急诊住院的病人,简直忙疯,而病房里面正常输液的病人,根本没精力管……
爸爸这次手术花了接近7万,农保报销了一万多,自费了4万6,比我的贵太多。后期他还需要4—6次的化疗,不知道他的身体能否承受。
手术细节就不多说了,还是那么疼,爸爸整个人瞬间憔悴了很多。
术后第五天,带爸爸在医院附近散步,刚好看到了美丽的夕阳。希望爸爸能健康顺利的活着,哪怕只有10年,希望少受病痛折磨。
说点儿废话:
1.在医院才真正体会到独生子女的苦,年轻人能有机会,还是生个二胎吧。
2.肺癌这个东西,家族遗传真强啊。如果有家族史的朋友,请引起重视。
受新冠疫情影响,今年春节前的节日氛围虽然没有往年浓烈,但是还是在人们脸上流露出各种过年的喜悦和忙碌。节前的门诊,可谓“门可罗雀”,患者和家属们也都忙着准备准备过年,春节前一周就基本上没有乳腺手术了,很多能推迟的手术都约到春节以后,门诊的患者大多都是定期开药的老患者。
冷清的门诊突然“黑压压”来了一群人,一位患者在她女儿陪伴下进入诊室,丈夫等众人守在门外,似乎在讨论着什么。患者很沉着的指着自己的前胸说:“医生,能不能帮我检查一下,我这有个肿块,是不是癌?”
很少遇到如此“单刀直入”的患者,感觉很不寻常。本来想先详细问问病史,看到患者已经自己面朝帘子,脱去外衣,我只能先配合她进行检查:“好的,请到帘子后面来,解开上衣,我们好做检查。”
患者很配合,但却执意将衣服全部脱去,陪同的家属都很严肃,个个面色阴沉,额头紧锁,安静等待,有着和过节喜庆有点不太协调的凝重气氛。
这种场景,按电视剧的剧情发展,感觉有什么重大事件即将发生。
“阿姨,天气有点凉,我们快一点检查才不会感冒。”我搓热双手,准备检查。
“医生,我没关系的。查清楚一点比较重要。”这位患者看来不是寻常患者。
果不其然,检查中我便感到情况不妙,患者的肿块确实有可能是乳腺癌,肿块不太大,大约1.5厘米,较扁平,位置较深,并不容易能摸到。她怎么知道自己患的病?难道我遇到了医疗专业的同行?
我很严肃地告诉患者:“这个肿块需要手术,手术前我们需要先做一些检查。”
患者很淡定的点点头:“我也是想做手术,手术前都要做乳腺彩超和钼靶吗?”
我的“台词”都被她抢先说了,果然是“同行”。我“耐心的”跟患者继续解释:“有了这两个检查,我们好确定术式,如果方便做下乳腺磁共振那样最好。”
“乳腺彩超和钼靶我做过了,没带来,在我手机里了。我把磁共振的结果带来了。”她跟女儿挥一挥手,她女儿便把片子摆到桌子上了,她也迅速把手机里的图片找了出来。
主要检查都做好了,诊断也基本上明确了。是“慕名而来”,等我收住院做手术吗?我有点“受宠若惊”。“同行”经常有人在背后指导检查以及就诊、手术,容易提一些普通患者不会提的要求。她的病情有什么“特殊”吗?她会提什么“特殊”的要求吗?
我仔细查看她提供的检查结果,彩超、钼靶并不是很强烈怀疑恶性肿瘤。乳腺磁共振虽然没有报告,但是从各个单幅图像上看虽然也不能很肯定是乳腺癌,但综合起来看乳腺癌基本上肯定无疑。考虑到患者自己都淡定地接受是乳腺癌的事实,我就单刀直入:“已经明确是乳腺癌了吗?做过穿刺病理了吗?”
“本来要做,因为做了穿刺,手术就要推迟,所以我们不想做。”她女儿替她回答了。
确实是这样,穿刺病理虽然好处多多,但病理结果最快也要两三天出来。眼下离春节不到一周,患者就算马上做了穿刺,算一下手术日,很可能也来不及在春节前排上手术,而患者也不可能在春节前出院了。
春节一直以来就是中华民族传统佳节,是一家人团聚的日子,家庭里如果有一员没有在家,那会影响到家里其他人都过不好年。春节还在住院,意味着什么不言而喻。很多危重患者明明在春节前发病,却因为想拖过除夕春节而加重了病情,耽误了治疗,甚至丢了性命。好在乳腺外科很少遇到这种情况。
我综合考虑了一下,建议患者:“不管是否愿意穿刺,都建议春节后来住院手术,放松心情好好过个年,毕竟肿瘤的生长不是一天就长出来的,乳腺的手术不急于一时,手术以安全为前提。”
患者和家属对我的建议似乎不太同意,“明后天做不了手术吗?”
我点了点头。“同行”就是为了“插队”手术吗?“同行”平时很忙,直到节假日才能挤出时间,这我能够理解,但是手术遇到春节对她自己会有众多不便,她难道不了解吗?
一群人也没再说什么,出了诊室后,在楼道叽叽喳喳讨论了许久才离去。
春节的欢乐时光飞逝,转眼间,一个多星期过去。春节后回到门诊的第一天,我又遇到了这个患者。此时的她腰上别着引流管,引流液已转为淡黄。我心想,这应该是赶上了春节前手术的“末班车”。
患者知道我会询问,主动跟我详细说了近况。春节前,患者已经在本地的另一家医院办好住院,做好检查,请好了假,准备手术,手术前签字患者才“突然”被告知可能是乳腺癌。患者原想着是个普通疾病,在附近医院治疗比较简单,也没有告诉太多家属。手术前签字的一席话“打醒”了患者,她慌忙告诉亲友。众亲友连忙帮助出谋划策,建议到我们医院就诊。因为他们都知道我们医院乳腺癌治疗水平在全市有名,一心想着转来这边手术。但是我节前接诊时,建议患者建议手术春节后做。患者觉得乳腺癌是大病,应该“速战速决”,加上主刀医生的劝说,她的亲友也建议尽快做,所以患者就在原来那家医院做了手术。
听到这里,我恍然大悟,原来患者就诊时,就已经较完整知道了病情和手术方案。
“既然手术已经做了,那就等病理结果出来,我们再看看。”我检查她的手术切口和引流管情况,做的是乳腺癌改良根治术,“引流管引流量还比较多,太早拔管容易积液,切口生长还可以,换换药就好。”
患者拿出手机:“病理结果出来了,在这里。”
我查看她的病理结果,是常规病理,诊断小叶原位癌。对照病理报告的描述,和之前的检查,并没有看到特殊之处。如果说全乳切除是防止乳房残留病灶或者预防未来发生乳腺癌,那为什么要做腋窝清扫?对于腋窝清扫,我们慎之又慎,因为做了手术,可能影响患者手术侧上肢的功能,为了预防肢体功能障碍还需要坚持做功能锻炼。
“有没有做术中冰冻?”我皱着眉头。
患者找出她的出院记录,上面清楚的写着术中冰冻的结果,也是“小叶原位癌”。
“那边的医生说不用化疗,但是要长期吃药治疗,我想来这边开药比较正规。”患者小声的说。
我当下真的很想跟患者说,她如果能长期服药,定期复查,其实可以不用全乳切除,更不需要腋窝清扫。但是我知道,也许在患者和她家属的眼里,只要病名里带有“癌”,那就是癌,手术切得越大,治疗越彻底。也许在她的主刀医生眼里,这就是癌,改良根治就是标准手术,手术做好了比其他的治疗都重要。我不敢苟同这种观点,按照最新的指南,这个病不是癌,只是跟乳腺癌有关系,可以不需要做那么大的手术。
“这个病比较特殊,治疗上跟一般的乳腺疾病、乳腺癌有不一样的地方,过段时间我会把这个病的治疗情况发到网上去,您可以在我定期更新的百家号上看到。如果您没看到,也可以过段时间来门诊,我仔细跟您解释。”我看了一下患者病理报告上免疫组化的结果,确实需要长期服药。“至于开药,其实哪里开都可以的。关键是坚持服药,不要中断。”
“最好做一下病理会诊。”我又加了一句。患者感激地点点头。
在临床上,小叶原位癌确实是比较少遇到的乳腺疾病。在我院近十年的病理诊断数据库里,这个病种也不到百例。小叶原位癌被认为是良性疾病,虽然会增加乳腺癌发生的几率,但它不会必然导致乳腺癌的发生。如果一侧确诊为小叶原位癌,双侧乳房发生浸润性癌的相对风险约为一般人群的9-10倍。纯粹的小叶原位癌常常在考虑为良性肿瘤的活检或手术时意外发现,一般都没有恶性肿瘤的典型影像学表现。对于经典的小叶原位癌,如果有空芯针穿刺病理确诊,可以不需要手术切除,如果做了手术活检,也不需要做肿物切缘病理证实肿物切干净。小叶原位癌还存在变体,比如多形性的小叶原位癌,伴有坏死的小叶原位癌,治疗上可以参考经典的小叶原位癌。对于影像学上有异常的小叶原位癌变体,如果有空芯针穿刺病理确诊,可以手术切除肿瘤,如果做了手术活检,可以做肿瘤切缘病理证实肿物切干净。
E-cadherin和p120的免疫组化染色有助于在形态不明确的病例中将小叶原位癌与浸润性导管癌等形态相似疾病做出鉴别。小叶原位癌的E-钙粘蛋白是缺失或异常表达的,P120弥漫性胞浆染色。但是在生物标记谱方面,经典的小叶原位癌常表达雌激素受体(ER)、孕激素受体(PR)强阳性,人表皮生长因子受体-2(HER-2)阴性,Ki-67呈低增生率,而小叶原位癌的变体可能出现ER、PR阴性、HER-2过表达、Ki-67中-高度增生率。
纯粹的小叶原位癌一般首选观察,半年到一年做一次体格检查,一年一次乳腺超声和乳腺钼靶,根据生物标记谱情况,以及是否绝经,选择三苯氧胺或芳香化酶抑制剂进行化学预防。一般不需要做放疗。
小叶原位癌合并有其他非浸润癌、浸润癌的机会比较多,当出现这种情况时,需要结合合并的癌的情况进行治疗。
多年前我们也遇到过一例小叶原位癌患者,根据术前乳腺钼靶及乳腺彩超检查的结果,怀疑乳腺癌。
术中将肿瘤切除送术中冰冻病理。根据术中冰冻病理的结果,当时仅做了右乳肿瘤切除和左乳钙化灶的切除,并等待术后病理再决定是否进一步治疗。术后病理回报结果,考虑左侧乳腺最高病变考虑为原位癌,右侧乳腺最高病变为小叶原位癌后,由于肿瘤很早期,病变很局限,术中已扩大范围切除,术后我们未再做一次扩大手术。
患者遵医嘱定期体格检查及复查彩超、钼靶无特殊异常,坚持服药无中断。直到前段时间,检查再次出现异常提示。
左侧病变曾考虑为原位癌或未达到原位癌,当时患者觉得我们已经按照原位癌给予治疗,未进一步做病理会诊明确当时是否真正达到原位癌。此次左侧出现考虑为导管内乳头状瘤的病变,是必须要重视的情况。导管内乳头状瘤常多发,切除后常复发,在乳腺良性病变中恶变率排名靠前,虽然该患者的肿瘤位于乳头旁,该处的导管内乳头状瘤恶变率较低,但绝不可轻视。由于是彩超可以发现的病灶,考虑减少患者的创伤,于是用乳腺微创旋切刀取出了病灶。
很不幸,左侧是乳腺原位癌。患者想起了右侧曾经是小叶原位癌,她很担心右侧也会癌变。毕竟她也查过资料,发生小叶原位癌后,双乳患乳腺癌的机会都增高了。左侧曾经的原位癌或未达到原位癌的病变,有再患乳腺癌的风险。左、右侧导管内乳头状瘤也增加患乳腺癌的风险。因此患乳腺癌风险高于普通人。
所以不是说患癌风险高就要切切切,切得越干净越好。我们并不鼓励预防性切除,不支持做对于预防乳腺癌意义不明的手术。但是这个患者得知诊断为乳腺癌后慌了,心理压力很大。第一次考虑为原位癌时建议她不要切乳房,她同意了医生的建议;第二次考虑为原位癌时建议她如果切缘没问题可以做保乳,她就觉得吃了药以后也没能起到预防作用,一次次的切,还会一次次的长。患者不想为了乳腺癌而担惊受怕,想一“切”了事,拒绝做基因检测后再做决定。对于手术切除双侧乳房态度坚决,且不考虑放假体。在谨慎沟通后,我们帮她完成了这个手术。
手术切除了双侧腺体,保留了双侧乳头乳晕。双乳腺体未见癌,这个结果我们和患者都是欣慰的。右侧小叶原位癌并没有导致右乳腺癌。左侧乳腺癌我们推测跟左侧导管内乳头状瘤癌变有关。
通过这个故事,其实是想告诉大家,小叶原位癌,虽然带个癌字,但是它不是传说中的“乳腺癌”,也不是乳腺原位癌。小叶原位癌光切除肿瘤效果是很好的,多年后至少在同侧也没长出乳腺癌。乳房的其它良性病变也可能导致乳腺癌,不一定都与小叶原位癌有关。无论是何种乳腺疾病,乳腺的定期检查很重要。
即使到了现在,我还是不敢相信这样的事情已经降临到我的身上,当然,身上的疼痛很真切的提醒我,就是真的。事情发生之后到现在,我的生活与家庭发生了巨大的变化。
【发现】
从去年体检中检测出肺部有两个实质结节,到做手术,总共五个月左右的时间。体检报告拿到手的时候,其实我并没有把这个事情放在了心上,因为无知,所以根本没觉得是个事儿。后来因为闺蜜准备今年结婚了,邀请我当姐妹,于是去医院想咨询下我的眼袋怎么祛除,刚好呼吸内科在同一层,也不需要排队,想起来那个体检结果让随访,于是很顺便地做了一个复查。
呼吸内科的一个很年轻很年轻的女医生,感觉像刚毕业的,直接给我开了增强CT(造影)那种,说真的,我当时还挺排斥的,觉得大惊小怪,手臂那支针打得好疼。
结果出来后,呼吸内科的医生面色略沉重的让我去胸外科,我才觉得事情不太对劲。再后来,去了胸外科,医生告诉我,虽然手术指征是8mm,我的一个是6mm,一个是5mm,但是从情况看,有空泡,有血管,磨玻璃结节,挺不好的,也是建议我可以手术了。说真的,我听着听着整个人就觉得放空了,然后大概问了下严重程度,当时医生说了句良性的可能性不大了,90%的概率是恶性。然后我就在诊室直接哭了。
【过程】2020年1月去了另一家医院再次检查,医生很直接的跟我明说了,这个就是原位癌了,再差点儿也可能是微浸润癌了。可以晚几年手术,但是要密切随访,手术指征是8mm。
回家路上,哭了一路,然后下午接着上班。等所有同事都回家了,我躲进了厕所里,痛哭流涕,对啊,不能影响工作,家里上有老下有小,我真的,连哭的地方都没有。但是哭完擦干了,回家该怎么样还是怎么样。老公的态度一直都很淡定,淡定到让我觉得很寒心,我说我不想回家,我很怕看到两个孩子就会控制不了自己的胡思乱想。他说我很莫名其妙,医生都说了,切掉了就好了。所以我们大吵了一架,好好的说出了我的想法,我们之前,一直以来真的都缺少了沟通,我不讲他不懂,大家互相不理解,一直在互相伤害。即使已经知道了是癌症,虽然是原位癌,虽然切除之后大部分都是无大碍,可是事情不是发生在自己身上的时候,真的无法感同身受的,我需要的不是任何指责,不需要任何人告诉我怎么坚强,去你妹的坚强,我只想好好哭,好好崩溃,我需要的是温暖!从体检出肺部有结节开始,他就没有放在心上,一直到找了两家医院确诊,他都没觉得是事儿,没有咨询过认识的医生,也没有查阅过相关的资料,一切都觉得这就是我自己的事儿,去做就完了。真轻巧!一股脑将我的不满咆哮出来了,他也愣住了。一直以来,我的强势,我的独立,让他早就已经习惯我包揽大小所有事情,哪怕面对死亡,他可能都觉得我OK。他忘了我是女人,我也有脆弱的一面。
一月底,跟医生预约了住院时间,然后做完了手头上的所有事情,请好假,2月份办理住院。因为是左右两边都要做,2号的手术已经排满了,只能排到了4号做。在医院又做了一些术前的检查、签知情书之类的。
未完待续……
2024.0604
文章阅读量挺大,我想正在经历这些事情的朋友心里也是充满了纠结、紧张与不安。首先,在过去的几年里,我都有在认真的锻炼身体,爱惜自己,起码半年复查一次身体,结果都正常。新冠后有出现过胸闷憋气的情况,当时ct 检查结果也正常,肺功能复查过两次,一切都好。伤口有点丑,夏天出汗多的时候会发痒。总之对我的生活没什么影响。我无法去解释手术或者不手术哪种更好,就我自己而言,我到目前都没有后悔过去手术,因为我很害怕这东西是定时炸弹咯。希望我的更新可以给希望所有正在经历这些事情的朋友带来一些好的心情,可以坚强乐观一些。加油!
现在想想真的挺不可思议的。
2月22日想着治疗完快一年了,应该去肿瘤医院复查一下比较好,之前都是在家附近的普通三甲医院检查。
当天来了血的检查,钼靶和B超。肿瘤医院病人较多,当天只做了钼靶,B超和血排到了下周一。周一做B超的时候医生在我患侧停了很久,我心里嘀咕,不会复发了吧?怎么停了那么久。那个医生不确定,又叫来了B超室的主任,主任非常肯定新的钙化点不太好,直接给了个4C.
我想不会这么快吧?之前一个朋友说我是她见过唯一的原位癌保乳的,这下真是严重了。
我马不停蹄的咨询了两个医院的医生,一个建议观察,一个建议先把钙化点切了,如果良性缝合,恶性就全切。我后来也咨询了我长期看病的中医,他也建议我这样做。
之前说原位癌最轻的,肯定没事,这下惨了,又得手术一次。原位癌保乳确实容易复发,我又是哺乳期得病的,还是her2型。
大家好,我是小理赔员,你身边的理赔小能手。
本文关键词:
CINⅡ级 宫颈原位癌
引言:
经过十余年的修订,2018年6月18日,世界卫生组织(WHO)发布了《国际疾病分类》第11版(ICD-11)。
ICD-11将于2022年1月正式生效,作为最新国际诊断信息报告标准,将逐步在全球推广实施。
最近几年,大家对于癌症筛查的意识也不断提高,并且很多地方也在推行一些癌筛的活动,原位癌的发生率也在呈现一个上升的趋势。
ICD-11,对宫颈原位癌的范围进行了重新定义,相信会对重疾轻症责任带来一些新的挑战;
当然也不排除会对定价和理赔也产生一定的影响,至于后续保司会作出怎样的调整,就拭目以待吧。
ICD历史发展
ICD的发展历经百年,第一个国际分类版本于1893年由国际统计研究所发布,名为国际致死原因目录(International List of Causes of Death)。
1948年,WHO成立,并发布了第6版ICD-6,首次将发病率纳入其中。
1955年,第七版发布,之后以每十年一次更新的频率于1965年发布ICD-8,于1975年发布ICD-9。
1983年,WHO对ICD进行更新,直至1990年5月,第四十三届世界卫生大会批准发布了ICD-10。
2018年6月18日,WHO发布了ICD-11,会员国可根据WHO发布的版本准备实施工作,例如翻译成本国语言。
会员国将于2022年1月1日开始使用ICD-11进行报告。
宫颈原位癌的前世今生
宫颈原位癌本身属于癌前病变,在过去几十年的时间,宫颈癌前病变的分类系统以及术语都经历了不同阶段的发展。
上世纪50年代开始使用轻度至重度非典型增生以及原位癌来定义宫颈的癌前病变。
到了1968年的时候,宫颈上皮内瘤变(CIN)的概念被引入。
即根据细胞的异型性以及病变累及上皮的范围不同将其分成CIN1、CIN2和CIN3这三个等级。
2014年WHO建议在女性生殖器肿瘤分类时采用与细胞学分类相同的二级分类法,宫颈上皮内瘤变被重新命名并分为宫颈低级别鳞状上皮病变(LSIL)与宫颈高级别鳞状上皮病变(HSIL)。
我国《宫颈癌诊疗规范(2018版)》采用了两级分类法,即宫颈低级别鳞状上皮病变/宫颈高级别鳞状上皮内病变(LSIL/HSIL),CIN3和大部分的CIN2都属于高级别病变。
在ICD-10中CIN3属于宫颈原位癌,而ICD-11中则进一步扩展了宫颈原位癌的范围,将CIN2和CIN3一起纳入该范畴。

CIN2在ICD-11中的分类及命名
在ICD-11中,宫颈上皮内瘤变Ⅱ级、将宫颈上皮内瘤变Ⅲ级均属于肿瘤类目中宫颈原位癌的范围,疾病编码分别是2E66.0、2E66.1。
疾病诊断标准会随着时间的推移而改变,ICD-11在我国实施后,对于保障范围涵盖原位癌的重疾产品或多或少都会带来一定挑战吧。
毕竟ICD-11对于宫颈原位癌的修改将扩大轻症保障中原位癌的范围,至于保司后续如何,共同期待吧。
参考资料来源:
IFHIMA,瑞士再保险,ICD-11中文官网
今年体检,查出来肺上有磨玻璃结节,两肺一边一个,而且尺寸都比较大,有1cm左右。体检医院给我打电话问以前有没有做过胸部CT,如果没有要挂个专科医生看一下,结节可大可小,尤其还是肺上的。拿到体检报告后,立马挂了市里看呼吸内科比较好的医院的专家,医生看了片子后说:尺寸比较小的那个问题不大,尺寸比较大的那个建议你三个月之后来做个靶扫描(我也不知道为什么要三个月之后)。回家之后我也没跟父母说这个事情,我姐说你这个还是挂个杭州的大医院看一下吧,多看两个医生总归放心点。于是后来挂了浙一的胸外科主任的号,由于体检的片子没有云影像,医生又安排我做了个高清CT,做完后医生一看,马上说:你这两个我都怀疑是肿瘤,我建议你马上手术拿掉,而且你是两肺一边一个,还不能同时手术,要间隔三到六个月。听到医生告诉我怀疑是肿瘤的那一刹那自己还是有点懵的,我才二十几岁,怎么会得肿瘤呢?? 医生可能也看我一个小姑娘自己来看,怕决定不好,给我开了支气管镜的检查,告诉我,如果你要做手术你就去把这个检查预约一下,如果不做你就不要去预约。我强忍着心头的不适,问医生:如果我短期内不做这个手术,肿瘤会不会变大。医生说:短期内可能不会变大,但是变大起来就很快。 我:那现在安排住院的话最快什么时候能手术?医生:现在只能申请预住院,具体的住院时间要看住院部那边床位,预计2周左右安排手术。
听完医生的话我立马给我姐打了个电话,我姐说:你自己怎么想的,是想再看几个医生再决定还是就在浙一动手术。说实话,当时其实挺无助的,自己一个人来看医生,还被告知可能得了肿瘤,还是两个。再三考虑之后,回去让医生开了预住院的单子,开了各种检查单,就这样决定在浙一做手术。
之后就是各种住院前检查,抽血,心电图,支气管镜,彩超等等。连着做了差不多三天的检查之后,医院给我打了电话通知住院。手术安排在住院后一天。
住院当天医生病人家属谈话我全程在场,医生让家属留下病人回去的时候我也没回去。谈话医生说:门诊告诉你们疑似肿瘤,按照我们的经验,基本上就是八九不离十,就是看是良性的还是恶性的。你们家属也不要有心理负担,现在发现的早,基本上拿掉就没什么事了。
手术前一天晚上8点就开始不能进食,第二天手术我是最后一台,自己走着去的手术室,躺在手术台上吸了个氧之后就没知觉了。等我一觉醒来手术已经结束了,整个手术也就2个小时左右,然后就被推着回了病房。过了半个小时左右医生过来病房找家属谈话,我先问医生:医生,我那个是好的还是坏的?医生直接告诉我是恶性肿瘤早期肺癌。听到结果的那一刻并没有很惊讶,也很坦然接受了。家属谈完话回来,我姐跟我说,医生说你那个还算发现的早,要是再晚个半年一年就说不好了。我让她不要把这个结果告诉爸妈,我不想他们担心。
在医院住了三天医生就来拔引流管了,告诉我隔天就能出院了,回家静养一段时间就好,微创手术没有开放性手术伤害那么大,2周之后来拿病理报告并复查。
现在距离我手术结束已经一周了,除了伤口有点疼,咳嗽的时候肺有点疼以外并没有其他不适。我也庆幸自己今年做了个体检,不然都不知道肺上长了肿瘤。所以每年一次的体检还是很有必要的。
一个能直接联系上公号主的保险自媒体
大家好,我是文文大保贝儿,你的脚后跟部保险博主。
2020版《重大疾病保险的疾病定义使用规范》统一定义了28种重疾和3种轻症,而“原位癌”则不包含在这“3种轻症”里。
尽管作为癌症的早期症状,原位癌一直是重疾险里的理赔大户,但在新定义重疾险中,银保监会依然没有对“原位癌”进行统一定义。
这也就意味着,新定义的重疾险产品,是否包含“原位癌”,以及“原位癌”怎么赔,全部由保险公司自己说了算。
文文大保贝儿看了一下新定义重疾险,其实基本上都是有“原位癌”保障的,只是大家对于“原位癌”的理赔定义,堪称“五花八门”。
甚至还有一些言论,说“xxx重疾险的”原位癌“保障非常坑!”
这也让很多小伙伴犯嘀咕:这些不同理赔标准的“原位癌”条款,到底有什么区别?
我们来具体看一下。
01
什么是“原位癌”?
所谓“原位癌”,其实就是恶性肿瘤的一种,指上皮恶性肿瘤局限于皮肤或粘膜内,没有通过皮肤或粘膜下面的基底膜侵犯到真皮组织,更没有发生浸润和远处转移的状态。
“原位癌“其实就是癌症发展中的最早期阶段,有时也被称为“浸润前癌”或“0期癌”。
通常的演变过程是:正常细胞→良性肿瘤→原位癌→癌症。
如果我们早期发现的话,趁他没来得及增值和转移就被消灭掉了。
以文文大保贝儿和同事的朋友圈对话举个栗子:
如果有一个表皮长了霉斑的橘子,剥开后里面的橘子还是好的,原位癌就相当于表皮上的霉斑。
但,如果橘子果肉已经变坏,就相当于发生了”浸润“,已经突破了原位癌,向着癌症发展了。
癌症发展规律是由轻到重的,按照重疾定义,”原位癌“是没有办法得到重大疾病赔付的,只有发展为浸润癌并发生扩散和转移才会赔付。
所以说,原位癌不属于重大疾病,现在市面上的重疾险产品,也都是按照轻症赔付”原位癌“的。
宫颈原位癌理赔案例:
理赔实例:宫颈原位癌,重疾险理赔元
02
原位癌如何进行治疗?
原位癌的病变范围和程度极小,主要治疗手段就是手术切除。
原位癌的治疗花费不高,一般不需要放化疗或靶向治疗,大概在几千到几万元不等。
与癌症相比,原位癌的治疗极其简单,只需切除病变部位、积极复查即可。
原位癌预后是非常乐观的,在及时治疗的前提下,治愈率接近100%,对寿命的影响非常小。
文文大保贝儿的一个朋友,之前就被诊断为“宫颈原位癌”。
一开始医院出具的报告显示是“CINIII”,我的小伙伴为了理赔的时候省点事儿,直接让医生给她写了个“原位癌”。
其实,这是因为现在在临床病历和病理报告中,已经很少出现“原位癌”的诊断了,大多是将其归为“高级别上皮内瘤(病)变”。
这也是为什么,同样的一个疾病诊断,有些医院出具的报告是”CIN III“,有些医院出具的是”宫颈原位癌“的原因。
关于宫颈癌前病变,文文大保贝儿之前拿到过术后标体承保的核保案例:
核保案例分享:宫颈灶性cin2-3级锥切术后,重疾险标体承保
核保案例分享:宫颈鳞状高级别上皮内瘤变cin2-3级,重疾险标体承保
我的小伙伴,也在旧定义重疾险停售之前,顺利核保到了标体承保的核保结论,成功给自己”加保“了。
03
新定义重疾险的”原位癌“定义都有哪些?
(1)没有额外要求:
这个理赔要求是和旧规重疾一样的,只要满足最基础的原位癌定义就可以了。
这是最为宽松的理赔条款,无可挑剔,字少就是硬道理!
不过,需要提醒大家的是,虽然没有要求进行”组织病理学检查“,但临床上,对于原位癌的诊断,是需要做组织病理学检查的。
不进行”组织病理学检查“,就无法确诊”原位癌“,并不是条款没写,就可以不进行”组织病理学检查“的。
如复星联合的康乐一生2021、妈咪保贝、福特加:
(2)需要有组织病理学确诊,且临床诊断ICD编码为D00-D09,肿瘤形态学编码为2:
就是要求原位癌的诊断方式,必须是组织病理学,如果是经细胞学检查结果或者其他结果确诊的不行。
并且临床诊断结果,也需要符合世界卫生组织的国际统计分类标准。
如果只看字面意思,似乎这个条款要严格一些。
如无忧人生2021:
但在实际情况下,这些要求并不是真的严格,这是由原位癌的实际定义,以及临床上的诊断方式来决定的。
通常,一个癌细胞会经历以下几个过程:
正常细胞→1轻度不典型增生(分化障碍)→2中度不典型增生→3重度不典型增生→4早期癌(黏膜内癌)→5浸润癌→6转移癌
原位癌就处于3→4之间。
原位癌如果仅仅是怀疑,或者说发现,在临床上是没办法进行后续处理的。
这时,医生通常都会建议,患者要进行组织病理学的检查,确诊是否患病。
所以,就算是对此项没有规定的其他重疾,其实也默认这个标准,都是需要进行组织病理学的检查的。
划重点:
组织病理学的诊断结果,是原位癌诊断的金标准。
没有组织病理学的诊断结果,无法确诊原位癌。
(3)必须经对固定活组织的组织病理学检查明确诊断:
如和谐健康福满一生:
(4)要求”已经接受了针对原位癌病灶的手术(切除)治疗“,必须符合ICD-10的原位癌范畴:
如阳光人寿阳光i保:
如弘康人寿哆啦A保:
平安人寿平安六福:
现在原位癌的主要治疗手段就是手术切除,而且不治疗会有很大概率发展成恶性肿瘤。
所以,保险公司要求”已经接受了针对原位癌病灶的手术(切除)治疗“,是很正常的。
”原位癌“在确诊后,总是要进行治疗的,会有人得了原位癌就不打算治了吗?
原位癌是个切切实实存在的疾病,有病就得积极的接受治疗啊。
硬要说有什么问题,就是做手术需要时间,可能会影响理赔时效,但做了手术,符合理赔条件了,还是能赔的。
大多数重疾险,都有此项要求:
临床诊断结果的ICD编码为D00-D09,肿瘤形态学编码为“/2”,才可以理赔原位癌。
这几项要求,导致”原位癌“的理赔变严苛了吗?
ICD编码,出自世界卫生组织《疾病和有关健康问题的国际统计分类》第10版,里面对各种疾病的编码。
而TNM分期,出自国际抗癌联盟/美国癌症联合委员会出的最新肿瘤分期指南AJCC8,对各项肿瘤的分期标准。
这几项标准全球通用,而且在实际理赔里,也一直都是最核心的依据之一。
在国际疾病分类ICD—10中,可以检索到,原位癌的ICD编码,确实就是D00—D09:
通过疾病编码表也可以查到,原位癌的肿瘤形态学编码,也确实是“/2”:
通过肿瘤分期指南AJCC8还可以查到,在肿瘤的TNM分期中,原位癌确实是单独一期,标记为“TIS”:
因此,只要是理赔原位癌的重疾险,都需要满足这些条件。
这是全球通用的标准,并不是保险公司为了不理赔,故意使的绊子。
如果把原位癌理赔的统一标准,清清楚楚的写进保险合同里也能叫”坑“,那文文大保贝儿反而希望,让”坑“来的更明显一点吧。
我喜欢什么赔什么不赔都写的清清楚楚的保险条款。
(5)除外部分病变
①有的产品写了“……不在保障范围内”,明确除外了癌前病变(包括宫颈上皮内瘤样病变CIN-1,CIN-2,重度不典型增生但非原位癌)、感染艾滋病毒或患艾滋病期间所患极早期恶性肿瘤或恶性病变。
不过,实际上并不影响理赔范围。
如昆仑健康保普惠多倍版:
②有的产品,在理赔条款中,明确除外了:癌前病变(包括但不限于宫颈上皮内瘤样病变CIN-1,CIN-2,重度不典型增生但非原位癌)、非浸润性癌、非侵袭性癌、上皮内瘤变、细胞不典型性增生、交界性肿瘤、交界恶性肿瘤、肿瘤低度恶性潜能、潜在低度恶性肿瘤。
在WHO的ICD-O-3中,原位癌的肿瘤形态学编码为“/2”,名称为“原位癌,上皮内的、非浸润性、非侵袭性”。
除外了这么多,是理赔条款严格吗?
不是,其实是把条款写的更明白了,也并不影响理赔范围。
即使这么长的内容不在条款里写出来,依然是不赔的,因为本来就不是原位癌的保障内容。
文文大保贝儿反而更喜欢这种,给”什么不赔“写的明明白白的产品,有啥话大家一开始就说清楚不好吗?
有效的避免了理赔纠纷,避免因为临床上对原位癌的定义太广泛(TNM分期无Tis分期的,但被临床诊断为原位癌的病变)而导致的理赔纠纷。
如信泰人寿达尔文5号焕新版、超级玛丽4号、完美人生2021:
条款显示,除外的好像比较多:
a.癌前病变(包括但不限于宫颈上皮内瘤状病变CIN1、CIN2、重度不典型性增生但非原位癌)
b.非浸润性癌、非侵袭性癌、上皮内瘤变、细胞不典型性增生c.交界性肿瘤、交界恶性肿瘤、肿瘤低度恶性潜能、潜在低度恶性肿瘤
关于a”癌前病变“:
”癌前病变“不是癌,并且大多数病变,到后期也不会转变成癌细胞。
而原位癌是”恶性细胞“,所以癌前病变,本身就不属于原位癌的范畴。
关于b”非浸润性癌“和c”交界性肿瘤“:
这些,大部分都是需要做进一步的分类,才能确定到底是不是”原位癌“的。
不是”原位癌“,那大家都不能赔;而如果是”原位癌“,依然是可以赔的。
看起来是”除外“了这些,其实并没有提高原位癌的理赔范围,它只是把模糊性的描述,全都排除,避免出现理赔纠纷而已。
条款写的不清不楚吧,说保险合同玩”文字游戏“;写的清清楚楚吧,又说人家写的太详细了是”坑“。
保险公司就是写了个不让大家产生误会的保险条款,大家别紧张,并不是把理赔门槛抬高了。
③有的产品,则明确排除部分被临床诊断为原位癌的病变,及诊断为CIN3/HSIL的病变,确实是更严了。
如:百年人寿康惠保旗舰版2.0:
把这些责任除外,依旧仅仅是相当于一个备注,并不会降低原位癌的理赔门槛。
唯一可能会导致争议的,是它多排除了一个CIN3。
但是,CIN3也不是完全没有了保障,而是放在了”前症“保障中:
这是因为,像宫颈CIN III-宫颈鳞状上皮病变,可能为”不典型增生“也可能为”原位癌“。
有些临床医生会认为,”宫颈CIN III就是原位癌“,这是因为,”宫颈CIN III“不管是”不典型增生“还是”原位癌“,他们的治疗方式都是一样的。
CIN III分为”重度异型“和”原位癌“两种,只有达到了CIN III极严重的时候,才属于原位癌的范畴。
因此,放在前症里也并不亏朋友们!
只要诊断出CIN3,就能按照”前症“的标准拿到15%的理赔款,拿到理赔的概率增大了。
04
”原位癌“的写法,不影响理赔
总的来说,”原位癌“的理赔条件,可以简单归为以下几类:
①无组织病理学要求
②要求组织病理学
③要求组织病理学并进行积极治疗
④要求生前诊断,活组织病理学及治疗报告
⑤要求组织病理学,ICD-10原位癌范畴,接受积极治疗
而以上几类的理赔条件,虽然写法不同,但实际在理赔中,其实并没有多大差别。
常规重疾险产品的除外责任,都没有提高原位癌的理赔门槛,虽然条款里哗啦啦的写了那么一长串的”不保障范围“,但也仅仅是保险公司为了避免临床上、对原位癌的定义太广泛,而导致的理赔纠纷而已。
市面上的重疾险产品,关于”原位癌“的理赔条件确实写的五花八门,但落实到临床实际上看,其实大家都差不多。
哪怕像要求接受”手术治疗“这些,最多也就是会导致拿到理赔款的时间稍有延迟,算是个小门槛,但并没有真正提高拿到理赔款的难度。
他们就是字多了点,真的并不“坑”啊!
反观,一些所谓的、写”产品坑“的文章,欺负大家的医学知识不多、对保险理赔的担忧,指责理赔条件有问题,显示自己所谓的专业和客观,其实也是另外一种程度上的误导。
买保险,首先要远离居心不良的人。
写完这篇文章,我也有了反思:
反派确实容易死于话多,被误解是表达者的宿命。
以后我也要时刻注意,不做废话篓子,文章不要总写的又臭又长了。
比如邓医生对我这篇文章的评价:
哈哈哈。
文文大保贝儿不是一个会追着别人买保险的人。
我自己对于销售和服务的期待,是“我需要你的时候,你在;我不需要你的时候,你别来”。
多写一点点:
你好,我是你的脚后跟部保险博主、全网最穷理财博主,文文大保贝儿。了解我,请戳:你好,我是一个不太正经的理财博主
不管是保险、还是理财,其实都是相对而言比较专业化的东西。
很多小伙伴跟文文大保贝儿说,看了很多文章,却还是不知道怎么才能买对保险。
是啊,如果不懂得如何避坑,很容易就会导致买错保险,多花了很多冤枉钱。
文文大保贝儿的知乎专栏,会更新非常多关于保险、理财的科学配置思路,希望能够为大家的正确买保险之路提供一些利索能力的帮助。
也欢迎大家预约文文大保贝儿分析家庭原有保单、配置专属保障方案,把关健康告知,协助核保、理赔等等。点我预约一对一咨询,手把手教你少花钱、不踩坑!
文文大保贝儿在等你呀
这次复查发现不好后,我立刻去了北肿以及找了我之前一直吃中药的医生,中医主任建议我先切钙化点,如果是良性就缝合,如果是恶性,就全切。
北肿的B超医生没有做出来是恶性,只是提示钙化点,建议随访,找了乳腺科的主任特需号,也建议随访。
后来我又找到另一家医院的乳腺科主任,他和我中医的观点类似,不能百分百肯定是恶性,钙化点也不建议穿刺,先局切,快速病理如果提示恶性,就全切,然后植入扩张器,后面恢复半年到一年再换假体。手术细节沟通的很详细,后来我决定就在这家医院手术了。
这家医院属于三级医院。不像肿瘤医院人那么多,很快就安排住院了,这次我做了全身详细的检查,确认没有转移,就按照之前说的手术方案进行。手术过程也不出来通报了。
手术大概进行三个小时,我出来看了下时间,就想着肯定恶性了,不然手术早该结束了。
我在这家医院住了十天,住院期间就出了病理,还是高级别导管原位癌,er- pr(20%),her2+++,微浸润<0.1cm。
手术医院的病理科不是很强。我又去北肿和东肿做病理会诊,出来都是高级别导管原位癌,未见明确浸润。差异还是挺大的。我又找手术的医院病理科医生复核了一下,她说还是有一点浸润的。
我做好了化疗和靶向的准备。
住院后和主任医生商议治疗方案,他不联系我做输液化疗和靶向,把利弊很详细的和我说明,考虑我年轻,可以口服化疗药6疗,就是卡培他滨,如果出现不舒服就立刻停止。后面治疗完再口服点内分泌药。
我觉得主任说的有道理,很为病人考虑,我就按照他的方案进行了。
后面家人也有去咨询北肿和东肿的特需内分泌医生,他们都不建议做任何化疗。直接口服内分泌药物。
最后我还是按照手术医生的建议进行治疗,这里的医生很负责任,比起肿瘤医院的冷漠,这里住院也让人很放松。口服化疗药前也做了相应的检查,保护的药也都给开着,还有泡手脚的中药。住院医生让我住院口服三天观察没问题就可以出院了,后续门诊开药随访就可以了。
第一次手术的时候自己很在意自己的乳房,现在全切了,心里也没有那么难过。只是洗澡的时候看到伤口,有点吓人,相信慢慢的会恢复的。
作者:许柯
有的患友在体检时被诊断出“原位癌”,一听是“癌”,立马就慌了神,开始惶恐、担忧,觉得自己命不久矣。其实原位癌并不算是一种真正意义上的癌症,该疾病预后良好,治愈率极高,甚至有时都不需要进行治疗。
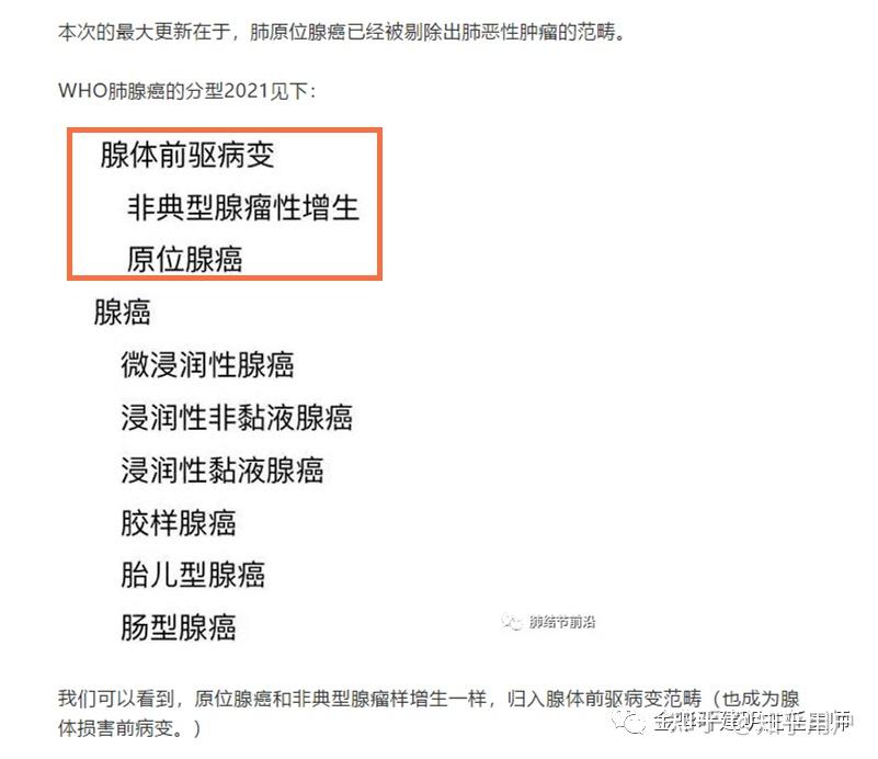
在近期WHO发布的2021版肺肿瘤组织学分类中也将其彻底移出了恶性肿瘤的分类,算是为这个癌消除了“恶”名。
什么是原位癌?
原位癌又称Bowen氏病,或上皮内上皮癌。多见于老年人,好发于角结膜交界处,肿瘤与邻近正常组织有明显界限。发展缓慢,可在若干年内局限在上皮内,病理检查显示为一种无规律的表皮增生,属于真正的上皮内上皮癌。
通俗点讲,原位癌就是癌细胞局限在了皮肤或粘膜内,还没有通过皮肤或粘膜下面的基底膜侵犯到真皮组织,也还没有发生浸润和远处转移的状态。就如同香蕉上的斑点,只存在香蕉外皮之上,剥开外皮,香蕉本身还是完好的。
原位癌一般有两大特点:
- 生长极其缓慢,大部分保持稳定10年以上。
- 不突破基底膜,不发生远端的转移。
肺原位腺癌不是一种恶性肿瘤
先前,我们把原位癌看做是一种“浸润前癌”或“0期癌”,在2015版WHO肺肿瘤组织学分类中将腺原位癌分类于“侵袭前病变”,而2021版本则将其归为“腺体前驱病变”(腺体发生损害前发生的病变),彻底将其摆脱侵袭、浸润的范畴,从恶性肿瘤中剥离出来。
肺原位腺癌的病理特征为:肿瘤细胞严格地沿着以前存在的肺泡结构生长(贴壁状生长),缺乏间质、血管和胸膜侵犯。与不典型腺瘤样增生(AAH) 不同点在于细胞密度增加,细胞之间缺乏间隙,与周围正常肺组织界限非常清楚。
因此,从病理学上肺原位腺癌没有浸润、转移等恶性肿瘤特征;临床上原位癌预后良好,治愈率极高;学术上,专业机构将其移出恶性肿瘤分类,因此,无论从何种意义上来看,原位癌都不是恶性肿瘤,也就不是我们所说的“癌”。
肺原位腺癌的鉴别
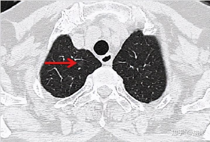
原位腺癌在CT下的表现通常为:5-30mm的纯磨玻璃结节(超过10mm需要仔细辨别),密度均匀,CT值在-600以下,极少有空泡、毛刺、胸膜牵拉和分叶,可以有血管穿过,但无血管进入。
在辨别原位癌时需与微浸润腺癌进行区分,前者不属于癌症分类,而后者则属于恶性肿瘤范畴。由于原位癌几乎不产生血管生成因子,即使生成也很难透过基底膜诱导血管的增生,因此依据CT上显示的异常血管增粗来区分原位腺癌与微浸润腺癌的一种很好的辨别方式。
肺原位腺癌的治疗
理论上有30%的原位癌会自行消退,但在现实中,肺部腺原位癌基本不会自行消退。那么我们该如何治疗呢?直接切除可以吗?
肺原位癌的治疗更多的医生还是倾向于观察为主,如发生变化,有转为微浸润性腺癌的可能再考虑进行手术切除,并且切除手术宜小不宜大。这是因为以目前的医疗水平,手术风险可能要大于原位癌本身的风险,因此如原位癌不发生改变,定期随访观察是最好的方式。
当然,如果原位癌所处位置较好,适宜手术,我们就可以像剥掉香蕉皮一样直接将其切除掉了。
总结
肺原位腺癌不是一种恶性肿瘤,需与微浸润腺癌做好区分。其治疗方式一般以观察为主,必要时可采取手术切除,该病预后良好,患有该病完全不必惊恐,在医生指导下定期随访即可。
最近几天,在胸外科医疗群里,一条消息被刷屏了,那就是“WHO2021新分类:肺原位腺癌被剔除出肺恶性肿瘤!”,而在临床中,其实,我们一直在呼吁针对原位腺癌,手术方式需改变,而不应该将其归到传统肺癌的领域里,但2011年的肺腺癌的新分类却明明白白把它是归类到肺腺癌里面的:
上图大标题是肺腺癌的分类,其实浸润前病变、微浸润性腺癌、浸润性腺癌是并列的小标题,所以能说原位腺癌不是癌吗?而且中国的肺癌治疗指南里首先是肺癌的标准术式是解剖性肺叶切除加淋巴结清扫(1A类推荐),其中的原位腺癌是可以亚肺叶切除的适应性之一,但是2B类推荐,证据等级小于1A类,也就是说原位腺癌切肺叶更符合原则,没有错!这也是目前肺结节不同医生采取各种不同术式的乱象根源所在:
所以我刚刚前几天在今日头条上还就原位腺癌的事进行了呼吁:
话音未落,原位腺癌被剔除出肺恶性肿瘤的这条消息刷屏了!现在最新的病理分类是怎样的呢:
WHO肺腺癌2021年最新的分型将非典型增生与原位腺癌划到了“腺体前驱病变”中,它与腺癌是并列的大标题,腺癌下面再分:微浸润性腺癌、浸润性非黏液腺癌、浸润性黏液腺癌、胶样腺癌、胎儿型腺癌和肠型腺癌。面且进一步描述如下:
影像上的表现,原位腺癌应该是5-30毫米的纯磨玻璃结节,密度均匀,CT值在-600以下,极少有空泡、毛刺、胸膜牵拉和分叶,可以有血管穿行,但无血管弯曲。当然若病灶在10毫米以上时,诊断原位腺癌要慎重,因为1厘米以上的病理上是原位腺癌的少见。
看着,非常不错,以后原位腺癌与非典型增生不是癌了,不需要手术了,至少不能按恶性肿瘤的方式进行手术了。这是好事!但真的到了临床上,如何把握,我看仍是前路漫漫,迷雾重重!我们先举几个例子,来看看影像上如何来区分AAH、AIS、MIA以及浸润性腺癌。下面的四幅CT图分别各是其中的一种,是我们术后有病理依据确诊的病例,你能分出哪张是哪种吗?
有没有高手能分辨出来?我是一头雾水,根本分不清到底哪个是哪种。都是纯磨玻璃结节,都是瘤肺边界清楚,大小都在1厘米左右或以下。现比如下面这四幅CT图也是分别为AAH、AIS、MIA以及浸润性腺癌(贴壁型),你能分得清楚哪幅图是哪种吗?
这几乎就是四胞胎,长的没什么区别,但病理类型天差地别。现在把AAH与AIS剔除出恶性肿瘤后,更是差别巨大了,是癌与非癌的区别了,但没有手术切除病检的情况下,你如何来区分?
我举这两个例子的意思是:AAH、AIS、MIA与浸润性腺癌(主要是贴壁生长型)在影像表现上有交叉,不手术切除病检的情况下无法完全定性!这样只在病理上将AAH与AIS剔除出恶性肿瘤,在临床处置上影响可能并没有想象来的大!最新的病理分类可能带来但不限于的影响包括:
1、临床医生在难以单凭影像做了精准区分的情况下,无法轻易下不需手术的建议,也承担不起如果是浸润性腺癌而被指责误诊漏诊的责任。所以原来该手术的以后可能仍是建议手术,不能从根本上改观,变成“原位腺癌不手术”这样的观念;
2、在医院目前体制不变的情况下,肺手术走量比量仍是最重要因素的情况下,只是病理分类的更改影响不足以撼动手术的冲动;
3、在病理新分类的指导下,需要改变肺癌治疗指南对于术式的推荐。以后术前考虑原位腺癌或非典型增生的,如果行肺叶切除应该是不合适的,也是应该违反原则的(因为它们不是恶性肿瘤)。但亚肺叶切除,特别是位置适合楔形切除的部位,因无法除外微浸润或浸润性腺癌,可能仍会大行其道,其实也该是正确的(磨玻璃持续存在,若楔切能解决问题,不管它是四种类型中的哪一种,都是能够被接受的);
4、对于多发结节的处理可能产生较大的影响。因为若主病灶为浸润性腺癌,次病灶多且考虑为AAH或AIS,因为现在确定这两者不是恶性了,那么它们显然可以随访,处理主病灶,次病灶随访将更符合原则。而在以往,如果主病灶与次病灶在同一叶,许多会选择行叶切以求彻底,因为都是定义为恶性的,但现在不同了;
5、因为AAH与AIS并不等同于普通的良性病灶,它可能会进一步发展成为微浸润性腺癌,以致浸润性腺癌。所以虽从病理分类上剔除,但临床实际中无法把它们当成真正的良性,仍需持续关注与复查。
所以总的来看:把非典型增生与原位腺癌剔除出肺恶性肿瘤范畴,在临床上价值有限,最好对手术方式的选择有所改变。真正的大招应该是:把纯磨玻璃结节定义为低危病变,可安全随访(直至出现明显进展,包括范围扩大或实性成份增加)。那才将会是颠覆性的改变!
个人意见,如有不妥,请指正,请留言!
在世界卫生组织(WHO)最新版肺肿瘤组织学分类(第5版,2021)中,非典型腺瘤性增生和原位腺癌归入腺体前驱病变,鳞状细胞不典型增生和原位鳞癌归入鳞状细胞前驱病变。也就是说,原位癌不再划入癌的行列,而是归入到前驱病变,这样一大拨原位癌病人可以摘掉头上“癌”的帽子。
原位癌的病理特征是什么?为何被归类为前驱病变?原位癌为何不是癌?
很多人就会有疑惑,既然原位癌已经叫“癌”了,为何又不划入癌范畴?大家知道,癌细胞并不是外来物种,是人体正常细胞发生变异之后,变成了形态和生长特性不同的细胞。从形态来说,原位癌细胞的异型性并不是特别大,排列整齐;从生长特性来说,原位癌细胞生长极其缓慢,惰性贴壁生长,甚至可以保持稳定10年以上。原位癌阶段,发生变异的细胞累及上皮层并局限于上皮层,细胞没有突破基底膜,基底膜完整。由于上皮层没有大的血管和淋巴管,所以原位癌不会发生浸润和转移。在TNM分期上,原位癌属于0期。
肺原位癌具有良性病变的一些特性,比如发展极其缓慢,不会转移,切除后百分百治愈不会复发。所以,原位癌不属于癌,被归入前驱病变。
2021版WHO指南的变化带给患者最大的变化是什么?
很多人说,2021版WHO指南把原位癌划入前驱病变,本质上并没有什么变化,有点换汤不换药的意思。其实这个名称的改变,意义是重大的。
首先,原位癌生长极其惰性,会持续很多年不变化,也有可能是终身。原位癌划入前驱病变,意味着很多原位癌病人手术可以避免或者推迟,只需要定期随访观察,等时机成熟再手术也不迟。毕竟,肺组织不可再生,肺切除一部分,对肺功能或多或少造成一定的影响。
其次,原位癌划入前驱病变,意味着这类疾病不属于重大疾病,不属于癌症病人,病人心理上就不需要一直背负着沉重的枷锁。
有些人认为这是保险公司玩的阴谋而已,目的是不想理赔,这完全是阴谋论。事实上,从2007年开始,商业保险就已经把原位癌踢出重大疾病范畴了。所以,这次WHO改变原位癌的划分与保险行业没有任何关系。
原位癌的进一步高危分流将向何处发展?
肺部原位癌治疗上建议是随访观察为主,不着急手术,观察期间病情不会突然变化而失去根治的机会。原位癌如果突破基底膜,变成微浸润癌,那么有可能会进一步加速发展,变成浸润癌,这时候需要临床做决策是否进行手术切除。
手术时机如何选择,更加考验医生精准判断的能力,判断错了,就有可能会导致治疗的延误。判断肺部磨玻璃结节是不是的确处于原位癌阶段,主要还是依赖于阅片经验和人工智能软件。中山医院曾经对术后证实为原位腺癌的磨玻璃结节图像进行了统计,在100多个原位癌的磨玻璃结节中,CT值平均为-602。而不典型增生CT值一般在-700~-800,属于更早期的阶段。从形态上来说,由于原位癌成规则排列贴壁生长,CT上一般呈现纯磨玻璃结节,发生分叶、毛刺、胸膜凹陷的概率较小,发生空泡和血管增粗的概率也较低。
目前应用于肺癌诊断的分子甲基化检测是否可以作为原位癌进一步高危分流的指标,非常值得研究。人SHOX2、RASSF1A基因甲基化检测是一个肿瘤特异性的检测,其通过基因扩增可以100万倍的放大检测信号,能够及时灵敏地测出肿瘤生成或者复发的基因甲基化的状态改变。所以,甲基化检测对可疑结节的诊断起到一定的辅助作用。
一说到癌症,很多人就吓得“色变”,只要是有“癌”字就很害怕,比如,原位癌,甚至“癌前病变”因为带有癌字,也以为是得了癌症。
有人问, 什么是原位癌?原位癌是不是癌,能治好吗?
原位癌,是指细胞学上具有原有的恶性特点,但尚未突破上皮基膜的肿瘤,因此又称为上皮内癌,或浸润前癌。原位癌是相对“浸润癌”说的,我们通常所说的这个那个癌都是指的浸润癌,但通常会省掉“浸润”二字,比如大家熟知的肺癌,胃癌,宫颈癌,结肠癌等等,都是默认浸润癌,只是省略了浸润二字。不过有时也会保留,比如乳腺癌的诊断经常还会保留“浸润”字样,乳腺浸润性导管癌、浸润性小叶癌、浸润性特殊癌等等。
只有浸润癌才有侵袭性,会扩散转移,而原位癌不具有侵袭性,不会扩散转移,因此治疗相对来说还是比较简单的,后续也不需要做化疗放疗等治疗。
如果我们把癌症比作一颗大树,原位癌就相当于是“树苗阶段”,也就是种子已经发芽,已经可以称之为树,当然还只是小树苗,根基还很浅,不会也没有能力向四周和远处播撒种子,这个时候如果想除掉它是很容易的,可以连根拔起,而且可以拔得很彻底,让它没机会再长起,这就是原位癌。原位癌很多人可能会接触到,经常有人咨询:原位癌是不是癌症?
原位癌其实不是通常意义上我们所说的癌症,可因为原位癌有一个癌字,很多人仍然很害怕,全家人跟着一起处于极度恐惧中,其实没必要。
所谓的原位癌,通俗地说,就是局限在原位的癌,与我们通常所说的癌症(浸润癌)不同,它还没有往深部间质浸润,不具有明显的侵袭性,预后非常好,通过恰当的治疗,完全可以除掉它。
正因为如此,有的商业保险甚至都可能不把这个原位癌归为重大疾病赔付范畴,因为它确实算不上是什么重大疾病,它并不会威胁生命,完全可以治好,也不会花费很多钱,所谓重大疾病,一般是难治或特别费钱的疾病。
不过,这里要特别注意,原位癌的诊断一定要有病理,而且得是手术完整切除后的病理才能最终明确,如果只是活检取得的组织病理,还不能真正下结论,因为活检只是取样,很可能你活检取得那部位病灶刚好是原位癌,而余下的部位可能有浸润癌成分。至于影像检查就更只能是提示,不能作为确诊的依据。
如果您有任何关于肺部方面的疑问,或者是想了解最新肺结节治疗的资讯,可以在下方留言,我们将竭诚为您服务。
“CIN”(cervical intraepithelial neoplasias)这个词,相对很多女性朋友并不陌生,因为这个词经常会出现在宫颈癌筛查的诊断报告中。CIN的概念首先是由Richart医生于1967年提出,主要用来定义或者描述宫颈鳞状上皮不典型增生,是一种医学术语。
宫颈不典型增生是指宫颈上皮细胞部分或是大部分被不同程度异型细胞所代替,根据其侵害上皮的程度,可以分为三个级别。
1、轻度(CINⅠ级):病变局限在上皮层的1/3内,即轻度宫颈不典型增生;
2、中度(CINⅡ级):病变局限在上皮层的下2/3,即中度宫颈不典型增生;
3、重度(CINⅢ级):超过上皮下2/3层被异型细胞取代,病变几乎累及全部上皮层,仅余1-2层表面的正常鳞状上皮。即重度宫颈不典型增生及宫颈原位癌。当异型细胞达到全层或者几乎全层时,可以诊断为原位癌。
现在医学院校广泛使用的人卫版第九版教材,无论是《病理学》还是《妇产科学》都把CIN III定义为包括了重度非典型增生和原位癌。2014年WHO肿瘤分类中使用两级分类法,将宫颈鳞状上皮内病变分为低级别鳞状上皮内病变(LSIL)和高级别鳞状上皮内病变(HSIL),LSIL包含了CIN I 和湿疣病变,HSIL则包含CIN II 和CIN III。
非典型性增生(dysplasia,atypical hyperplasia)是病理学的名词,是指上皮细胞异乎常态的增生,与细胞的正常增生有区别,表现为增生的细胞大小不一,形态多样,核大而浓染,核浆比例增大,核分裂可增多但多呈正常核分裂像。细胞排列较乱,细胞层次增多,极向消失。但一般不见病理性核分裂。非典型增生发生部位:皮肤(体表)、黏膜上皮(体腔)、腺上皮(腺体上皮)。
好了,结论就是:在理论上,宫颈上皮内瘤变CIN3级可能是重度不典型增生,但是也可能是原位癌。
那么,在临床上通常是如何对CIN3进行诊断的呢?这不得不首先从CIN3的疾病编码说起。
CIN3的疾病编码
2018年8月份,中日友好医院举办了一期面向全国医务人员的培训,培训的主题就是“病案质控管理与改进”。在培训课程中,中日友好医院病案管理科主任李庆红讲解的专题“妇产科疾病编码”,明确把CIN3的疾病编码归为D06.9;
CIN Ⅲ为子宫颈鳞状上皮内瘤变Ⅲ级的英文缩写,属子宫颈原位癌。所谓微小浸润癌,指的是肿瘤上皮性病变可在一处,或在多处浸润间质,深度在上皮基底膜以下 3mm 以内(含 3mm);而且要能证明没有淋巴管或血管的受累。
CINⅢ伴早浸,属于宫颈微小浸润性鳞状细胞癌,不是宫颈原位癌。编码查方法为:选择主导词“癌”查 ICD-10 卷三(P34),索 引-鳞状 (细胞) 微小 侵袭性(M8076/3),未特指部位 C53.9。
CINⅢ伴早浸倾向,是指伴有可疑间质浸润的鳞状细胞原位癌。编码查找方法为:选择主导词“原位癌”查ICD-10 卷三(P1308),-鳞状细胞――伴有可疑间质侵袭(M8076/2),宫颈 D06.9。
也就是说,CIN3的疾病编码,要么是C53恶性肿瘤,要么是D06原位癌,无它。
好了,现在我们知道:从ICD-10疾病编码上来看,CIN3的确属于原位癌。接下来我们来看看CIN3在《国际疾病分类肿瘤学专辑》第三版(ICD-0-3)的肿瘤形态学编码中是如何界定的。
CIN3的肿瘤形态学编码
肿瘤形态学编码表中,CIN3的编码如下:
CIN3能按原位癌赔吗?
随着宫颈癌早期筛查技术的逐渐普及以及广大女性朋友对宫颈癌早期筛查的参与率越来越高,CIN3的检出率也出现逐年暴增的现象。所以,CIN3是原位癌不假,但是它是否能够按照原位癌去赔这个问题很重要。要想分析学这个问题的答案,就得看重疾险保单条款中对原位癌的具体约定了。
在重大疾病定义使用规范2020版还未施行之前,各大保险公司对原位癌的赔付标准描述均相对简单,而且基本相同,符合就会赔。赔付标准为:指恶性细胞局限于上皮内尚未穿破基底膜浸润周围正常组织的癌细胞新生物。原位癌必须经对固定活组织的组织病理学检查明确诊断。被保险人必须己经接受了针对原位癌病灶的积极治疗。
所以说,如果是在2021年2月底之前投保的重疾险,CIN3是会按照原位癌进行赔付的,这个没有争议。
2020版重大疾病定义使用规范施行后,各大保险公司开始纷纷修改原位癌的赔付条件,导致原位癌的理赔没有以前那么简单了。我们来看看各家保险公司新定义重疾险是如何约定原位癌的赔付标准的:
上面这张表格截取了部分保险公司在2021年3月份以后发行的重疾险产品中对原位癌的赔付条件约定。总体上,新规颁布后,保险公司对原位癌的赔付更加谨慎了,明确要求原位癌诊断符合ICD-10原位癌疾病编码;除此之外,有的还要求符合肿瘤形态学编码的描述(比如横琴人寿无忧人寿2021)。不过这些都没有问题,在文章中我们已经得出结论,临床上CIN3给的就是原位癌的疾病编码和原位癌的肿瘤形态学编码。所以,根据条款目前大部分保险公司还是可以按照原位癌去赔付CIN3的。
但是也有个别保险公司的个别重疾险产品,会在原位癌中点名把CIN3剔除出去。也就是说,CIN3在这些重疾险产品中是不可以按照轻症中的原位癌去索赔的。比如百年人寿的康佳倍重大疾病保险。相比之下,也有保险公司点名CIN3属于原位癌的赔付范围,比如复星联合健康的福特加重大疾病保险——是不是很有趣?
因此,CIN3在临床上就是原位癌,至于能否可以按照原位癌去赔付,需要看我们所投保的重疾险产品的条款约定。也可以这样去理解:女性朋友在选择重疾险产品时,需要特别关注条款中原位癌的具体约定了。
所有肺部结节患者关心的问题首先是我的结节到底是恶性还是良性,如果大概率是恶性,很多人又在关心,我的结节到底能不能手术根治,手术后还要不要化疗,这时候医生就会给病人分析,原位癌是可以100%根治的,微浸润是可以99.9%根治的,浸润性癌根治率低一些,但小结节手术后大部分也是可以根治的,患者就开始晕乎了,到底什么是原位癌,什么是微浸润和浸润癌呢?我们来为大家梳理一下。
首先大家要充分地理解,癌症为什么会转移,癌细胞从正常细胞恶变成癌细胞,这个过程大部分是没有转移能力的,在癌细胞一个变两个,两个变四个这样一个生长增殖的过程中,肿瘤的瘤体会不断的变大,肿瘤瘤体越大,对其中的各个细胞个体的控制能力就越低,当然,这个控制能力还受肿瘤的恶性程度影响,恶性程度越高的肿瘤,癌细胞越有脱离母体转移到他处的倾向。
但有了转移能力就一定会转移吗?那肯定不是,转移除了要癌细胞具有脱离母体向远处移动的能力,还要有转移的通道,人体内最主要的转移通道有两个,一个是淋巴管一个是血管,前者流通的是淋巴液,后者流通的是血液,在人体的所有组织中,血液和淋巴液都是最基本的液体,所以全身的癌症都有转移的可能性,那癌症是不是已形成就已经能够通过这两个通道转移了呢?
答案是否定的,肺癌是一种来自于上皮组织的恶性肿瘤,也就是说只要是癌,都是由上皮组织里的细胞恶变而来的,上皮组织顾名思义就是覆盖在人体外表面以及内表面的一层组织,比如皮肤,口腔黏膜,胃粘膜,肠道粘膜,气管表面,这些组织结构都有一定的特点,它是分层的,癌细胞一般起源于粘膜上皮组织中的上皮层或者皮肤的表皮层,我们从下图可以看出来,上皮层和其他分层之间有一个基底膜层,只要癌细胞没有突破基底膜,它是没有机会接触到血管和淋巴管的,这个状态下的癌症就叫做原位癌,原位癌一般不会发生转移,手术后基本上可以根治,之前有些指南把原位癌从恶性肿瘤中剔除,所以有人称其为良性肺癌,其实下图比较形象的展示了肺癌的三个阶段,原位癌,微浸润癌,和浸润癌。
打个比较形象的比喻,血管是人体当中的河流,癌细胞就像池塘里样的鱼,而基底膜就是横隔在池塘和河流之间的堤坝,当池塘距离河流很远的时候,癌细胞是没有丝毫机会跳到河流里游向远方的,但池塘不断的扩大,终于池塘的边界挖到了堤坝里,理论上讲池塘里的鱼已经有机会通过堤坝里的暗道进入河流游向远方发生转移了,相当于到达了微浸润阶段,但这个阶段转移的概率仍然非常低,直到池塘的边界直接把河流的堤坝给挖通了,这时候癌细胞就像池塘里的鱼,有可能会游向远方发生转移了。
有的人看到这里又要慌了,那是不是肺浸润癌就一定会转移复发呢?答案是否定的,癌细胞进入血管并不是进入了无人之境,而是进入了更加复杂的世界,因为人体的免疫细胞全部在这里等着它呢!在肿瘤的直径比较小的时候,即使是长进血管了,每次脱离母体流入血管的癌细胞数量也不是很多,还不够免疫细胞吞噬的呢,即使侥幸有几个细胞逃过了免疫细胞的追杀,但到了身体的其他部位扎不下根也会死去,直到肿瘤当中有大量的癌细胞进入血液,人体免疫力又很低下的时候,才会有部分癌细胞能够长成转移瘤发生扩散,这时候要想根治它就基本上不可能了。
有人对于转移就不能根治这句话不是太理解,比如肺上面长了肺癌,转移到了脑子,脑子里只有一个瘤体,两边手术切除不就能根治了吗?其实这样想还是没有对转移的概念有深刻的理解,转移是指血液里有癌细胞,你可以把可见的瘤体去除掉,但残留在血液中的癌细胞是无法完全根除掉的,尤其是已经长出转移瘤体的情况下,说明身体的免疫力已经控制不住血液中癌细胞的生长了,即使用化疗药也无法完全杀死这些癌细胞了。
肺癌无论是原位癌还是微浸润又或者浸润癌,在直径比较小,尤其是1cm以下时是没有任何症状和表现的,而直径越小的结节,手术根治率越高,所以定期体检很重要,在没有症状的情况下就发现出来,倾向于恶性的情况下就手术切除基本上都能够根治,等到它长大产生症状了,就不一定能根治了。
版权声明:本文内容由互联网用户自发贡献,该文观点仅代表作者本人。本站仅提供信息存储空间服务,不拥有所有权,不承担相关法律责任。如发现本站有涉嫌侵权/违法违规的内容,请联系我们,一经查实,本站将立刻删除。
如需转载请保留出处:https://51itzy.com/kjqy/182638.html