原创 赵喜同学 XI区
大家好,欢迎大家访问XI区!
由于心脏运动的存在,限制了对小结构(如冠状动脉)的**可视化,因此心脏成像是计算机断层扫描(CT)中技术上最具挑战性的应用之一。在CT数据采集过程中进行心电门控,可以实现冠状动脉的无运动成像。今天分享自加拿大放射科医师协会(CAR)和加拿大胸部影像学会(CSTR)发布的心脏CT成像实践指南。
冠状动脉CTA
钙化评分
冠状动脉钙CT有助于动脉粥样硬化性心血管疾病(ASCVD)风险分层,并为无症状个体提供预防措施的指导。冠状动脉钙化(CAC)是心血管风险的独立预测因素,许多将CAC纳入风险模型的研究显示其能够更好地预测ASCVD事件。CAC评分为0具有高度的ASCVD事件阴性预测价值。
冠状动脉钙化CT的主要适应症是评估无症状、中等风险个体的ASCVD风险,这些个体在CAC存在或不存在的情况下可能会被重新分类为低风险或高风险群体。加拿大心血管学会指南强烈建议考虑对40岁及以上、Framingham风险评分为10%-20%的无症状中等风险成年人进行冠状动脉钙化CT检查,尤其是在治疗决策尚不确定的情况下。指南还强烈建议高风险个体、已经接受他汀治疗的患者或大多数无症状低风险成年人不应进行冠状动脉钙化CT筛查。指南对40岁及以上、有家族早发ASCVD病史的部分低风险个体提出了弱推荐(具体为男性55岁及以下,女性65岁及以下)。
Agatston评分是量化CAC的最有效方法。每个具有峰值强度130 HU或以上的钙化病灶根据其峰值强度被分配一个从1到4的因子(130-199 HU为1,200-299 HU为2,300-399 HU为3,400 HU及以上为4)。然后将此因子乘以病灶面积,得到病灶评分。总的Agatston评分通过汇总所有单个病灶的评分计算得出。CAC通常被分为无CAC(Agatston评分0)、轻度(1-100)、中度(101-400)或重度(>400)。此外,还建议报告Agatston评分、年龄、性别和种族特定的CAC百分位数,带有CAC的血管数量,以及左主冠状动脉的CAC是否存在。
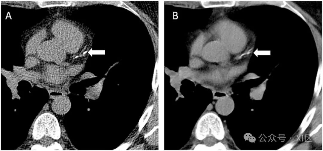
(A) 钙评分CT显示在一名62岁无症状男性中,钙评分小于100,根据Framingham风险评分为中等风险。所有的钙沉积都位于左前降支冠状动脉的近端(箭头所示)。在完成初步的非门控胸部CT后,没有必要重复进行钙化评分CT,正如(B)所示,因为多项研究表明非门控胸部CT的定性评分(轻微,如图B所示,箭头)与定量Agatston评分之间有极佳的相关性。
心血管计算机断层成像协会(Society of Cardiovascular Computed Tomography)提出的冠状动脉钙化数据和报告系统(CAC-DRS)旨在标准化CAC扫描结果的报告和沟通,并指导患者管理。CAC-DRS是一个结构化的报告系统,根据Agatston评分将患者分为4类——CAC-DRS 0、1、2和3,每个类别反映冠状动脉钙化负担的增加以及未来ASCVD事件风险的升高。CAC-DRS还包括修饰符,指示有CAC的血管数量以及评分是基于定性视觉估计还是定量Agatston评分,前者仅适用于平扫、非门控CT。
原生冠状动脉
冠状动脉CTA已经发展成为一种有效的非侵入性成像方式,用于评估患有稳定性典型或非典型胸痛或心绞痛等效症状的患者、冠状动脉旁路移植的通畅性评估以及冠状动脉异常的评估。CCTA评估冠状动脉狭窄及斑块特征的能力可以根据未来心血管事件的可能性,指导即时和长期的治疗策略。

大量的比较效果研究和荟萃分析验证了CCTA在检测阻塞性和非阻塞性冠心病(CAD)方面的诊断准确性,与侵入性冠状动脉造影(ICA)以及最近的侵入性血流储备分数(FFR)相比,CCTA具有较高的敏感性。CCTA、应激心肌灌注成像(MRI和PET)与SPECT及应激超声心动图相比,检测直径狭窄大于50%(以ICA为参考标准)病变的敏感性更高。此外,它们在检测FFR ≤0.80的病变时也具有更高的敏感性。然而,在这些成像方式中,CCTA对FFR ≤0.80病变的特异性最低。将CT-血流储备分数(CT-FFR)和CT灌注成像添加到CCTA解剖成像中可以提高CT的特异性,达到MRI和PET的水平。
多项研究显示,CCTA对急性冠状动脉综合征(ACS)具有高敏感性和阴性预测价值。CCTA现在被认为是低至中等ACS预检概率患者的首选影像学检查。
其他指南不建议对急诊室中呈现ACS症状的低风险患者进行常规影像检查。然而,在某些患者群体中,可考虑使用钙评分CT进行风险预测。随机对照试验表明,使用CCTA可以缩短急性胸痛的诊断时间,减少住院时间,并通过减少进一步下游检查的需求来降低成本。对于预检概率较高的ACS患者,与早期进行ICA相比,CCTA也是一种合理的诊断策略,尤其是对于有出血风险或患者更偏好非侵入性检查的情况。CCTA可以增加高敏感性肌钙蛋白检测的特异性,因为高敏感性肌钙蛋白检测可能会出现假阳性或边界值结果。
CAD-RADS提供了一个结构化框架,用于解释和报告CCTA结果,旨在改善心脏影像专家和转诊医生之间的沟通,标准化报告实践,为患者管理决策提供框架,并促进冠心病领域的研究。CAD-RADS根据CCTA发现的冠状动脉狭窄程度进行冠心病分类(基于多平面重建中看到的冠状动脉腔直径的减少),分为6类:CAD-RADS 0(无冠心病;无冠状动脉狭窄),CAD-RADS 1(轻度非阻塞性冠心病;冠状动脉狭窄最大为1%-24%),CAD-RADS 2(轻度非阻塞性冠心病;最大冠状动脉狭窄25%-49%),CAD-RADS 3(中度狭窄;最大冠状动脉狭窄50%-69%),CAD-RADS 4(重度狭窄;70%-99%狭窄或左主干≥50%或三支血管阻塞性(≥70%)疾病),CAD-RADS 5(完全冠状动脉闭塞;100%狭窄)。
CAD-RADS 2.0于2022年发布,引入了额外的参数,包括斑块负担和缺血性指标。与原始版本类似,CAD-RADS 2.0仍然以冠状动脉腔狭窄为核心评估内容,定义为根据每位患者的腔直径缩小情况进行的估算,但进一步引入了估算、量化并报告整体斑块负担的方法,以符合越来越多的证据表明斑块特征和负担在心血管风险分层中的重要作用。更新版本还引入了P1至P4的描述符,表示斑块负担的不同级别。当存在2个或以上的高风险特征时,建议使用HRP(高风险斑块,之前用V代表易损斑块)修饰符。这些特征包括斑点状钙化、低密度斑块(小于30 Hounsfield单位)、正性重构和“餐巾环”征(定义为由“坏死核心”组成的低密度斑块,被更高密度的纤维瘤或易破裂的纤维帽包围)。CAD-RADS 2.0还引入了I修饰符(缺血),用于指示CT-FFR或心肌CT灌注是否显示病变特异性缺血或可逆性灌注缺陷,E修饰符(例外情况)则用于指示任何非动脉粥样硬化性冠状动脉狭窄,如自发性冠状动脉夹层、血管炎或外在压迫。其他修饰符包括S(存在冠状动脉支架)、G(存在冠状动脉旁路移植)和N(非诊断性研究)。CAD-RADS 2.0还根据CAD-RADS分类提供了后续检查建议,如是否建议进一步诊断测试、治疗改变或心脏病学咨询(更多内容参见XI区:)。
冠状动脉支架
冠状动脉支架植入是治疗冠心病的标准治疗策略。尽管其有效,但支架可能会出现再狭窄和支架血栓形成等并发症。历史上,使用CCTA评估冠状动脉支架的效果一直面临挑战,主要是由于金属支架引起的硬化和部分容积效应(伪影),限制了对支架腔的可视化。支架大小、支架材质以及成像过程中患者的心率都极大地影响了CCTA对支架的评估能力。因此,在评估有冠状动脉支架的症状性患者时,功能性缺血检测通常优于CTA。然而,随着CT技术的进步,包括探测器排数的增加和迭代重建算法的应用,CCTA在评估支架通畅性方面的能力显著提高。因此,CCTA成为评估冠状动脉支架>3 mm患者的合理检查方式,尤其是当前一代支架具有<100微米的支架支撑。对于直径较小的支架(<3 mm),评估仍较为困难,但CCTA在评估近端、非分叉部位的细支架(<3 mm)时仍然是一种合理的检测方法。
冠状动脉旁路移植
冠状动脉旁路移植(CABG)仍然是多血管和复杂冠心病治疗的基石。CTA提供了一种非侵入性且可靠的方法来评估冠状动脉旁路移植的通畅性,包括动脉和静脉移植。CTA可以准确显示移植的通畅性、吻合点及狭窄情况,并在再次开胸手术前的术前规划中帮助评估左侧内乳动脉移植位置和后纵隔粘连。虽然CTA在评估移植狭窄和通畅性方面具有很好的诊断准确性,但在进行过CABG的患者中,对原生冠状动脉的评估更为有限,通常是由于严重的冠状动脉钙化,因此,功能性检查在识别这些患者中保护和未保护区域时可能更为合适。
先进技术
CT-血流储备分数(CT-FFR)

血流储备分数(FFR)是识别血流动力学显著冠心病和指导再血管化策略的金标准。传统上,FFR的测量是一个侵入性程序,需要心导管插入和专门的压力导丝来确定冠状动脉内血流的血流动力学重要性减少。技术进步使得可以从标准CCTA计算FFR,这种技术称为CT-FFR,为冠心病的非侵入性功能评估铺平了道路。
CT-FFR基于计算流体动力学,从CCTA获取的解剖数据模拟冠状动脉内的血流和压力。该计算方法估算在模拟高流量条件下狭窄处的压力降,提供一个指示特定病变缺血的比率。CT-FFR值>0.80,类似于侵入性FFR,被认为是正常的,而0.76至0.80之间的值为边界值,≤0.75的值则指示血流动力学显著的病变。
(A) 左前降支中段中度狭窄(CAD-RADS 3),(B) CT-FFR值为0.72,提示血流动力学上显著的病变(箭头所示)。© 右冠状动脉中段中度狭窄(CAD-RADS 3),(D) CT-FFR值为0.88,提示该病变血流动力学上无显著影响(箭头所示)。
心肌灌注与存活性
心肌计算机断层扫描灌注(CTP)成像提供了关于心肌血供的见解,补充了传统CCTA所提供的解剖数据。心肌CTP的主要作用是通过在休息和药物诱导应激后可视化心肌分布的碘化对比剂,评估心肌缺血的存在和程度。它的基本原理是,受到狭窄冠状动脉供血的心肌区域,在应激条件下会表现出相对的对比增强降低,与非病变动脉供血的区域相比。通过将关于心肌灌注的功能信息与CCTA的解剖数据结合,心肌CTP可以提高诊断准确性和预后评估,尤其是在CCTA显示血流动力学意义不明的冠状动脉狭窄、严重冠状动脉钙化或冠状动脉支架的特定患者群体中。尽管心肌CTP具备多项能力,但也需要考虑相关挑战,包括需要药物应激剂和额外的辐射暴露,使得仔细选择患者至关重要。
尽管MRI仍然是评估既往心肌梗死患者心肌存活性的主要技术,但在血管对比剂清洗后5至10分钟的额外CT采集可以评估心肌瘢痕。虽然CT的对比度与噪声比MRI低,晚期增强CT成像可以作为评估存在MRI禁忌症患者心肌存活性的替代方法。
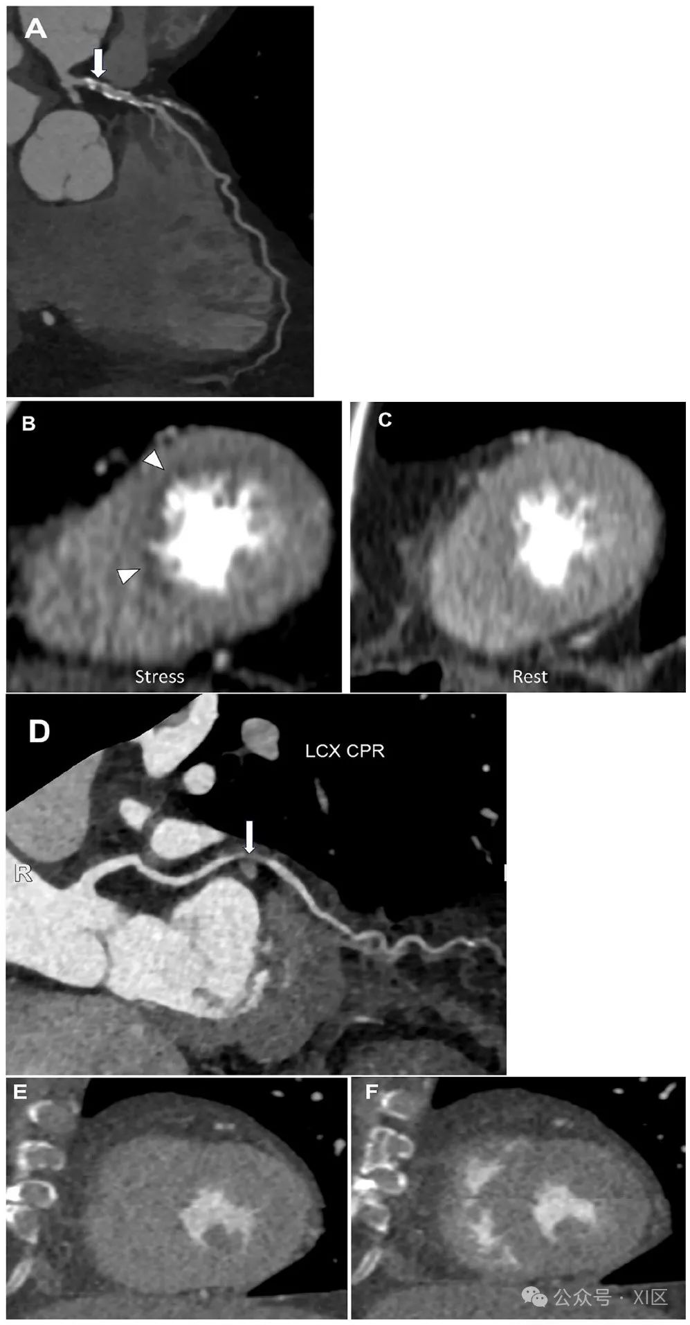
(A) 左前降支近端严重狭窄(CAD-RADS 4A,箭头所示),(B) 在负荷影像中可见左前降支供血区域可逆的灌注缺损,© 但在静息影像中未见灌注缺损,提示心肌缺血。(D) 左回旋支中段严重狭窄(CAD-RADS 4A,箭头所示),(E) 在负荷影像中未见灌注缺损,(F) 静息影像中也未见灌注缺损。
ECV
细胞外容积分数(ECV)是一个重要的影像学参数,用于估算由于心肌纤维化或其他浸润性心肌疾病导致的心肌细胞外空间扩展。尽管ECV测量起初源于MRI,但最近的进展使得使用心脏CT进行这些测量成为可能。CT基础的ECV测量涉及获取对比剂注射前后的图像(或如果使用双能CT则获取注射后图像和虚拟未增强图像),从而允许计算校正血细胞比容的ECV。使用心脏CT量化的ECV与MRI推导的ECV测量和组织学结果有很好的相关性。尽管初步研究显示出良好的结果,但还需要进一步研究来验证CT导出的ECV测量在不同患者群体中的临床实用性和预后意义(更多内容参见XI区:)。
更多干货,关注XI区!
文献原文:Nguyen ET, Green CR, Adams SJ, Bishop H, Gleeton G, Hague CJ, Hanneman K, Harris S, Strzelczyk J, Dennie C. CAR and CSTR Cardiac Computed Tomography (CT) Practice Guidelines: Part 1 Coronary CT Angiography (CCTA). Can Assoc Radiol J. 2024 Aug;75(3):488-501. doi: 10.1177⁄08465371241233240. 仅供专业人士交流目的,不用于商业用途。
2024年11月1日
阅读原文
讯享网
版权声明:本文内容由互联网用户自发贡献,该文观点仅代表作者本人。本站仅提供信息存储空间服务,不拥有所有权,不承担相关法律责任。如发现本站有涉嫌侵权/违法违规的内容,请联系我们,一经查实,本站将立刻删除。
如需转载请保留出处:https://51itzy.com/kjqy/170055.html